فهرست مطالب
زمانی که فردی به پوکی استخوان مبتلا میشود، تراکم استخوانهای او به شدت کاهش مییابد و بافت استخوانی متخلخل میشود. تحلیل استخوان ناشی از پوکی استخوان، استخوانهای شما را ضعیف و شکننده میکند، بهنحوی که استخوانها ممکن است به راحتی دچار شکستگی شوند. یکی از راههای تشخیص پوکی استخوان، بررسی شرایط توده استخوانی از روی عکسهای تصویربرداری پزشکی است. پزشک از روی عکس پوکی استخوان میتواند شدت بیماری و میزان پیشرفت آن را تشخیص دهد. در این مقاله از دکترتو با جزئیات بیشتری از انواع عکس تصویربرداری برای پوکی استخوان و نحوه استفاده از آنها برای تشخیص این بیماری آشنا میشویم.








عکس استخوان سالم و دچار پوکی استخوان
برای این که بتوانید درک بهتر از پوکی استخوان داشته باشید، بهتر است عکس استخوان سالم را با عکس استخوانهایی که دچار پوکی استخوان شدهاند، مقایسه کنید. در عکس استخوانهای سالم، بافت استخوانی متراکم است و فضاهای خالی کمی در آن دیده میشود. اما به نسبت این که شدت بیماری چقدر است، در عکس پوکی استخوان شاهد علائم پوکی استخوان و کاهش تراکم بافت استخوانی هستیم و یک بافت متخلخل (سوراخدار) را مشاهده میکنیم.
استخوان سالم الگویی از صفحات استخوانی قوی و بههمپیوسته را نشان میدهد. این در حالی است که در پوکی استخوان، بخش عمده این صفحات استخوانی از بین میروند و باقی مانده بافت استخوانی، بسیار ضعیف و کمتراکم است. بافت استخوانی در پوکی استخوان به صورت میلههای ضعیفی است که هیچ کمکی به استحکام استخوانها نمیکنند. هر چقدر که بیماری شدیدتر باشد، ساختارهای محدودتر و ضعیفتری را در عکسهای پوکی استخوان میبینیم.


متن انگلیسی:
به نقل از سایت ncbi
The normal bone shows a pattern of strong interconnected plates of bone. Much of this bone is lost in osteoporosis and the remaining bone has a weaker rod-like structure.
ترجمه فارسی:
استخوان طبیعی الگویی از صفحات استخوانی قوی و بههمپیوسته را نشان میدهد. بخش زیادی از این استخوان در پوکی استخوان از بین میرود و استخوان باقیمانده ساختار میلهایشکل ضعیفتری دارد.
انواع عکس تصویربرداری پوکی استخوان


به صورت تخصصی، تشخیص پوکی استخوان بر اساس تصاویر رادیوگرافی ساده فقط در مراحل پیشرفته کاهش تراکم یا شکستگی را نشان میدهد و برای تشخیص اولیه مناسب نیست. اما در مراحل اولیه، حتی کم بودن تراکم استخوانها در این تصاویر هم میتواند برای تشخیص کمککننده باشد.
پزشک بر اساس علائم بیمار و شرایطی که هر بیمار دارد، از انواع آزمایش پوکی استخوان مانند سیتیاسکن و امآرآی برای تشخیص پوکی استخوان استفاده میکند. با این حال مهمترین روش برای گرفتن عکس پوکی استخوان، اسکن DXA یا DEXA نام دارد. این روشها با ارزیابی قسمتهای مختلف استخوانها، تراکم آنها و از همه مهمتر آسیبها یا شکستگیهای احتمالی، به تشخیص این بیماری کمک میکند.
1. عکس رادیوگرافی پوکی استخوان X-ray


عکس رادیوگرافی به عنوان عکس پوکی استخوان، دقت و حساسیت بالایی ندارد و فقط در مراحل پیشرفته کاهش تراکم یا شکستگی را نشان میدهد. با این حال در مراحل اولیه ممکن است از این روش برای بررسی شرایط استخوانها، خصوصا شکستگیهای احتمالی استفاده شود.
2. عکس سنجش تراکم استخوان (DXA یا DEXA)


برای تشخیص پوکی استخوان، پزشک باید تراکم مواد معدنی استخوان (BMD) را آزمایش کند. اصلیترین روش تصویربرداری برای تشخیص پوکی استخوان و بررسی BMD، اسکن DXA یا DEXA است. به این نوع اسکن، جذبسنجی اشعه ایکس با انرژی دوگانه گفته میشود.
در این روش، از مقایسه میزان تابش جذب شده توسط دو پرتو اشعه ایکس (جذبسنجی) برای تخمین تراکم استخوان استفاده میشود. پزشک با مشاهده عکس پوکی استخوان و بررسی نتیجه به دست آمده تشخیص میدهد که آیا تراکم استخوان طبیعی است یا این که بیمار دچار از دست دادن خفیف استخوان یا پوکی استخوان شده است. برای تفسیر تصویربرداریهای پوکی استخوان میتوانید از بهترین دکتر ارتوپد ایران مشاوره بگیرید.
متن انگلیسی:
به نقل از سایت webmd
The most common test for checking BMD is a special type of X-ray called a central dual-energy x-ray absorptiometry (DXA).
ترجمه فارسی:
رایجترین آزمایش برای بررسی BMD، نوع خاصی از اشعه ایکس به نام جذبسنجی اشعه ایکس با انرژی دوگانه مرکزی DXA است.
3. سی تی اسکن و ام آر ای استخوان
روشهای دیگری هم میتوانند به تشخیص اولیه بیماری پوکی استخوان کمک کنند که یکی از آنها سی تی اسکن و تصویربرداری ام ار ای است. سی تی اسکن کیفی یا QCT دوز اشعه بالاتری دارد و فقط در موارد خاص استفاده میشود. این روشها خصوصا برای تشخیص شکستگیهای استخوانی در ستون فقرات کاربرد دارند.
در عکس پوکی استخوان به دست آمده از MRI، سیگنال مغز استخوان ظاهری ناهمگن با جایگزینی پراکنده و یکنواخت مغز استخوان با چربی (سیگنال T1 بالا) دارد.
| نوع تصویربرداری | کاربرد اصلی |
|---|---|
| رادیوگرافی ساده (X-ray) | تشخیص کاهش تراکم در مراحل پیشرفته و شکستگیهای احتمالی |
| اسکن DXA یا DEXA | اندازهگیری دقیق تراکم مواد معدنی استخوان (BMD) و تشخیص پوکی استخوان |
| امآرآی | مشاهده سیگنال مغز استخوان و ضایعات چربی در پوکی استخوان |
عکس پوکی استخوان ستون فقرات


یکی از مشکلات ستون فقرات، پوکی استخوان در این ناحیه است. در عکس پوکی استخوان ستون فقرات میتوان شکستگیهای احتمالی در استخوانها را تشخیص داد. جا به جایی مهرهها، شکستگیهای فشاری و مهرهای و نازک شدن ترابکولاهای افقی در جسم مهرهها، از جمله مواردی است که میتوان در تصاویر به دست آمده از ستون فقرات، از آنها برای تشخیص پوکی استخوان استفاده کرد.
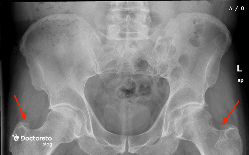
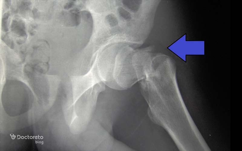
عکس پوکی استخوان لگن و ران


برای تشخیص و بررسی پوکی استخوان در لگن و ران، از روشهای مختلف تصویربرداری امآرآی، پزشکی هستهای و رادیوگرافی ساده استفاده میشود. در هر یک از این روشها، شاخصههای مختلفی ارزیابی میشوند. بهعنوانمثال MRI در پوکی استخوان اولیه جایگزینی پراکنده مغز استخوان با چربی را نشان میدهد؛ ادم و خطوط شکستگی بیشتر در شکستگیهای ثانویه دیده میشود.
خطوط شکستگیهای زیر غضروفی نیز در این تصاویر مشخص است. تصاویر MRI در افراد مبتلا به پوکی استخوان، تصویر واضحی از بافت نرم اطراف لگن، مانند ماهیچهها و تاندونها را نیز ارائه میدهد.
نتیجه گیری
پوکی استخوان زمانی رخ میدهد که ساختار متراکم و بههمپیوسته استخوانها بهتدریج نازک و متخلخل شود و توان تحمل فشار را از دست بدهد. مقایسه تصاویر استخوان سالم و مبتلا نشان میدهد که کاهش تراکم و از بین رفتن صفحات استخوانی، مهمترین عامل ضعف و خطر شکستگی است. روشهای تصویربرداری مختلف میتوانند به تشخیص این وضعیت کمک کنند، اما اسکن DXA دقیقترین ابزار سنجش تراکم مواد معدنی استخوان به شمار میرود. با توجه به اهمیت تشخیص زودهنگام، ارزیابی تصویربرداری توسط پزشک و پیگیری منظم میتواند در پیشگیری از شکستگیها و حفظ سلامت استخوان نقش مهمی داشته باشد. پزشک ارتوپد با کمک عکس پوکی استخوان و ارزیابی توده استخوانی میتواند مرحله بیماری و میزان پیشرفت آن را تشخیص دهد.
دکترتو مراقب سلامتی شماست!

