فهرست مطالب
میکروسفالی یک اختلال عصبی بسیار مهم است که طبق تخمینها حدود 3 نفر از هر 10 هزار تولد را تحت تاثیر قرار می دهد. این بیماری دو حالت دارد؛ برخی از کودکان قبل از تولد و در دوران بارداری به دلایلی همچون نقصهای ژنتیکی به آن مبتلا میشوند که به آن میکروسفالی اولیه یا مادرزادی میگویند. گروه دوم، کودکانی هستند که بعد از تولد به دلایلی همچون آسیبهای مغزی یا ابتلا به برخی از عفونتها، دچار اختلال میکروسفالی میشوند. تشخیص زودهنگام و تدوین یک برنامه مراقبتی برای کودکان مبتلا به این بیماری اهمیت زیادی دارد. در این مقاله از دکترتو میخواهیم در خصوص تشخیص میکروسفالی در سونوگرافی و قبل از تولد صحبت کنیم و ببینیم که آیا میتوان میکروسفالی شدن جنین را در دوران بارداری شناسایی کرد.
تشخیص میکروسفالی در سونوگرافی ممکن است؟
در مواردی که میکروسفالی زمینه مادرزادی دارد، گاهی اوقات میتوان این اختلال رشدی را در دوران بارداری و قبل از تولد، از طریق تصویربرداری سونوگرافی (اولتراسوند) تشخیص داد. در تستهای تصویربرداری که در دوران بارداری انجام میشود، پزشک و متخصص سونوگرافی، بر اساس شاخصهای رشد مغز جنین و مشاهده برخی از فاکتورها، میتوانند میکروسفالی را تشخیص دهند. البته بررسی سایر فاکتورها از جمله برخی از نقصهای کروموزومی یا مشکلات مرتبط با تاخیر رشد جنین هم میتواند به تشخیص میکروسفالی در سونوگرافی کمک کند.
بهترین زمان برای تشخیص میکروسفالی در بارداری با سونوگرافی کی است؟
برای مشاهده و تشخیص میکروسفالی در بارداری با سونوگرافی، آزمایش سونوگرافی باید در اواخر سه ماهه دوم یا اوایل سه ماهه سوم انجام شود. در واقع این اختلال در ماهها و هفتههای اول بارداری در سونوگرافی قابل تشخیص نیست و بهترین زمان برای شناسایی نشانههای احتمالی میکروسفالی، از جمله کوچکی سر جنین در سونوگرافی، در اوایل سه ماهه سوم بارداری است.
متن انگلیسی:
به نقل از سایت cdc
Prenatal diagnosis of microcephaly can be done late in the second or early in the third trimester.
ترجمه فارسی:
تشخیص میکروسفالی در دوران بارداری از طریق سونوگرافی در اواخر سه ماهه دوم یا اوایل سه ماهه سوم امکانپذیر است.
1. تشخیص میکروسفالی با سونوگرافی در سه ماهه اول بارداری
در سه ماهه اول بارداری هنوز رشد مغز جنین کامل نیست و در نتیجه نمیتوان با استناد به تصاویر به دست آمده از سونوگرافی، میکروسفالی را تشخیص داد؛ بنابراین امکان تشخیص میکروسفالی در سونوگرافی در سه ماهه اول بارداری وجود ندارد.
2. تشخیص میکروسفالی با سونوگرافی در سه ماهه دوم بارداری
در سه ماهه دوم به تدریج رشد مغز و سر جنین کامل میشود و در اواخر سه ماهه دوم، میتوان در تصاویر سونوگرافی، شرایط رشد مغز جنین را بررسی کرد. به همین دلیل هم بهترین زمان برای تشخیص میکروسفالی در بارداری با سونوگرافی، اواخر سه ماهه دوم یا اوایل سه ماهه سوم بارداری است. در هفته 28 بارداری، میتوان کوچکی سر جنین در سونوگرافی را تشخیص داد.
| مرحله بارداری | میزان صحت بررسی |
|---|---|
| سه ماهه اول | رشد مغز کامل نیست؛ بنابراین تشخیص میکروسفالی با سونوگرافی دشوار است. |
| سه ماهه دوم | رشد مغز و سر جنین کاملتر میشود؛ در اواخر سه ماهه دوم امکان بررسی و تشخیص میکروسفالی فراهم میشود. |
| هفته ۲۸ (اواخر سه ماهه دوم) | بهترین زمان برای تشخیص کوچکی سر جنین با سونوگرافی است. |
| اوایل سه ماهه سوم | زمان مناسب برای شناسایی نشانههای میکروسفالی و تایید تشخیص |
شاخص های سونوگرافی برای شناسایی میکروسفالی
برای تشخیص میکروسفالی در سونوگرافی، یک سری فاکتورها در بررسی رشد مغز و سایر اندامهای جنینی در نظر گرفته میشوند. اولین شاخص سونوگرافی برای تشخیص میکروسفالی در بارداری، اندازهگیری نسبت دور سر جنین به دور شکم است. سایر فاکتورهایی که برای تشخیص میکروسفالی جنین در بارداری در نظر گرفته میشوند، شامل شاخصهای زیر هستند:
- BDP؛ این فاکتور قطر بین دو استخوان آهیانه جنین را اندازه میگیرد. این اندازه بزرگترین قطر سر جنین را نشان میدهد که بر اساس آن میتوان رشد نرمال مغز و جمجمه جنین را تعیین کرد
- HC؛ اندازهگیری دور سر جنین
- AC؛ دور شکم
علاوه بر این فاکتورها، در جنینهایی که احتمال میکروسفالی بودن آنها وجود دارد، به دلیل عدم تناسب لوبهای پیشانی و صورت، پیشانی جنین شیبدار است.

دقت سونوگرافی در تشخیص میکروسفالی چقدر است؟
هیچ آزمایش دقیقی برای تشخیص اینکه آیا یک نوزاد با میکروسفالی متولد میشود یا خیر، وجود ندارد. قابلاعتمادترین روش برای ارزیابی دقیق رشد سر نوزاد و تشخیص میکروسفالی، اندازهگیری محیط سر نوزاد تازه متولد شده، تا 24 ساعت بعد از تولد است و این اندازهگیریها باید در طول دوران کودکی ادامه یابد.
با این حال تشخیص میکروسفالی در سونوگرافی میتواند یک پیشآگهی در خصوص احتمال ابتلای جنین به این اختلال باشد تا بتوان اقدامات اولیه لازم برای مدیریت علائم بیماری را انجام داد. تشخیص میکروسفالی جنین در بارداری نسبی است و همیشه به صورت صددرصد این بیماری در آزمایشات سونوگرافی تشخیص داده نمیشود.
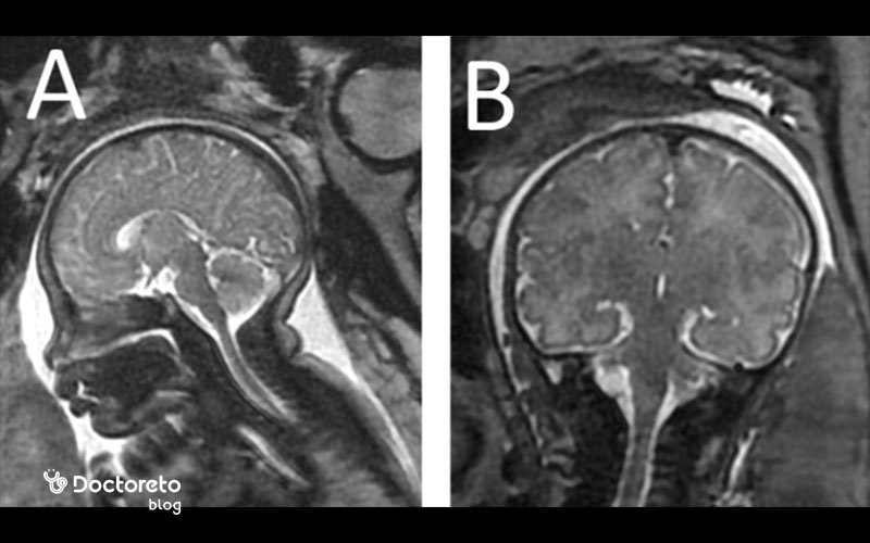
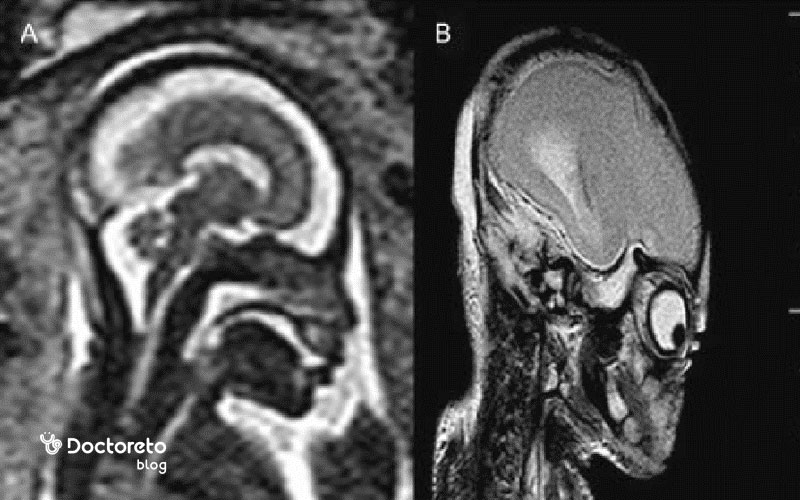
حتی در صورت تشخیص کوچکی سر جنین در سونوگرافی، پزشک بعد از تولد بررسیهای مورد نیاز را انجام میدهد تا بتواند به صورت دقیقتر، میکروسفالی بودن نوزاد را تشخیص دهد. MRI و آزمایش ژنتیک میتوانند میزان تشخیص میکروسفالی را بهبود ببخشند و بنابراین به عنوان بخشی از بررسیهای اولیه تشخیصی، توصیه میشوند.
متن انگلیسی:
به نقل از سایت moh
There are no specific tests that can show whether or not a baby will be born with microcephaly; however, during the last three months of pregnancy, it can sometimes be detected with an ultrasound test.
ترجمه فارسی:
هیچ آزمایش خاصی وجود ندارد که بتواند نشان دهد آیا نوزادی با میکروسفالی متولد خواهد شد یا خیر. با این حال، گاهی اوقات در سه ماه آخر بارداری میتوان آن را با آزمایش سونوگرافی تشخیص داد.
اهمیت تشخیص میکروسفالی در سونوگرافی
دور سر جنین نشان دهنده حجم مغز است و آن را به یک شاخص ضروری برای تشخیص رشد مغز جنین تبدیل میکند. وجود میکروسفالی نشان دهنده رشد غیرطبیعی مغز است که میتواند منجر به عوارض عصبی مختلفی از جمله صرع، فلج مغزی و اختلال ذهنی شود؛ بنابراین با تشخیص احتمال میکروسفالی شدن جنین در دوران بارداری و قبل از تولد، میتوان برای هر نوع عارضه جدی آماده بود.
چه عواملی باعث خطا در تشخیص میکروسفالی با سونوگرافی می شوند؟
همانطور که گفته شد، تشخیص میکروسفالی در سونوگرافی همیشه دقت کافی را ندارد و یک سری عوامل ممکن است باعث بروز خطا در تشخیص میکروسفالی شوند. محدودیتهای تشخیص میکروسفالی با سونوگرافی عبارتاند از:
- تنوع فنوتیپی میکروسفالی
- وجود دلایل و علتهای ناهمگن برای میکروسفالی شدن جنین
- نبودن یک تعریف دقیق و مشخص برای میکروسفالی مادرزادی
- عدم وجود منحنیهای استاندارد رشد جنینی وابسته به جنسیت و نژاد جنین

نتیجه گیری
میکروسفالی را میتوان در رحم با استفاده از اسکن اولتراسوند تشخیص داد، تکنیکی که امواج صوتی با فرکانس بالا و فناوری رایانه را برای تولید تصاویر تشخیصی از رگهای خونی، اندامها و بافتهای در حال رشد نوزاد ترکیب میکند. با این حال، میکروسفالی معمولاً با این تکنیک تا سه ماهه سوم قابل مشاهده نیست و برای تشخیص میکروسفالی در سونوگرافی، حداقل باید تا اواخر سه ماهه دوم بارداری صبر کرد. پزشک معمولاً در تصاویر اولتراسوند به دنبال شواهدی از سر غیرطبیعی کوچک میگردد. حتی در صورتی که مشاهدات پزشک در تصاویر سونوگرافی، کوچک بودن سر نوزاد را نشان دهد، هنوز هم نمیتوان تا زمان تولد و انجام معاینات دقیق فیزیکی، میکروسفالی بودن جنین را تشخیص داد.
دکترتو مراقب سلامتی شماست!

