فهرست مطالب
سرطان معده از بیماریهایی است که در مراحل اولیه اغلب با نشانههای غیراختصاصی مانند سوءهاضمه یا ناراحتی خفیف شکمی همراه میشود و همین موضوع توجه به علائم را دشوار میسازد. پرسشهایی که معمولاً در این زمینه مطرح میشود، شامل این است که فرد چگونه میتواند حدس اولیه نسبت به وضعیت خود پیدا کند و چه زمانی باید به بررسی تخصصی فکر کند. استفاده از ابزارهای تشخیصی، زمانی معنا پیدا میکند که تغییرات بالینی با یافتههای ساختاری یا بافتشناسی مقایسه شود. در این میان، پرسش از کجا بفهمیم سرطان معده داریم؟ نقطه آغاز مناسبی برای بررسی روند شناسایی محسوب میشود. در این مطلب از دکترتو، با از کجا بفهمیم سرطان معده داریم؟ آشنا میشوید.
اهمیت تشخیص به موقع سرطان معده
تشخیص بهموقع یعنی شناسایی ضایعه در مراحل اولیه که در آن شانس درمان کامل با جراحی یا حتی روشهای آندوسکوپیک بسیار بالاتر است. در مراحل اولیه سرطان معده، علائم میتوانند مبهم و شبیه سوءهاضمه باشند و همین موضوع باعث تأخیر در مراجعه به پزشک میشود. اگر نشانههایی مثل درد بالای شکم، سیری زودرس، کاهش وزن غیرعمدی، کمخونی یا وجود خون مخفی در مدفوع را بیش از چند هفته تجربه میکنید، ارزیابی تخصصی توسط دکتر گوارش را به تعویق نیندازید. تشخیص سرطان معده در مراحل پایینتر نه فقط بقای بلندمدت را افزایش میدهد، بلکه شدت درمانهای لازم را نیز کمتر میکند.
از سوی دیگر، در سرطان معده پیشرفته احتمال متاستاز بیماری به غدد لنفاوی و صفاق بیشتر است و همین موضوع مدیریت بیماری را پیچیدهتر میکند. در این مرحله گاهی در شکم تجمع مایعات دیده میشود که به آن آبآوردن شکم گفته میشود و میتواند تنگی نفس و احساس پری ایجاد کند. هرچه زودتر مسیر تشخیص طی شود، احتمال نیاز به درمانهای سنگینتر مانند شیمیدرمانی طولانی و جراحیهای وسیع کمتر میشود. بنابراین آگاهی از مسیر تشخیص، آستانه مراجعه را پایین میآورد و نتیجه درمان را به شکل ملموسی بهبود میدهد.
برای شناسایی سرطان معده، پزشکان از روشهای مختلفی استفاده میکنند. اولین گام معمولاً بررسی علائم سرطان معده در بیمار است. اگر فردی علائمی مانند درد شکم، کاهش وزن غیرقابل توجیه، حالت تهوع یا مشکلات گوارشی مزمن داشته باشد، پزشک ممکن است بررسیهای بیشتری انجام دهد. در ادامه انواع آزمایشها و راههای تشخیص سرطان معده را معرفی میکنیم.

راه های تشخیص سرطان معده با تصویر برداری
تصویربرداریهای دقیق مانند سیتیاسکن، امآرآی، یا اولتراسوند میتوانند به پزشک در بررسی عمق و گسترش سرطان معده کمک کنند. این روشها به پزشک اجازه میدهند تا وضعیت معده و اطراف آن را به دقت بررسی کند و تشخیص دقیقی درباره مرحله بیماری ارائه دهد.
سونوگرافی میتواند مایع آزاد شکمی، بزرگشدن برخی غدد لنفاوی یا درگیری کبد را نشان دهد. سیتیاسکن و در صورت نیاز امآرآی برای مرحلهبندی، ارزیابی ضخیمشدن دیواره معده، بررسی غدد لنفاوی و متاستازها بهکار میروند. با این حال، حتی بهترین تصاویر هم جایگزین آندوسکوپی و نمونهبرداری نیستند. انتخاب روش تصویربرداری به علائم، وضعیت عمومی بیمار و پرسش بالینی بستگی دارد. اگر کاهش وزن، کمخونی و درد مزمن دارید، پزشک معمولا با آزمایشهای پایه شروع میکند و سپس برای تشخیص سرطان معده، آندوسکوپی فوقانی را پیشنهاد میدهد. انواع تست سرطان معده با تصویربرداری عبارت است از:
- سونوگرافی
- آندوسکوپی
- تصویر برداری با اشعه ایکس (فلوروسکوپی)
- سیتیاسکن (CT scan)
- ام آر آی (MRI)
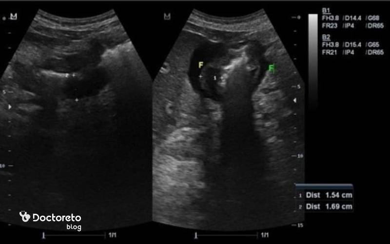
تشخیص سرطان معده با سونوگرافی
سونوگرافی یک روش غیرتهاجمی است که با استفاده از امواج صوتی، تصاویر داخل معده و اندامهای اطراف را ارائه میدهد. این روش میتواند وجود تودههای غیرطبیعی یا تغییرات در دیواره معده را نشان دهد. با این حال، سونوگرافی به تنهایی دقت کافی برای تشخیص قطعی سرطان معده را ندارد. این روش میتواند مایع آزاد شکمی، درگیری احتمالی کبد یا بزرگشدن برخی غدد لنفاوی را نشان دهد و در مواردی ضخیمشدن قابلتوجه دیواره معده را مطرح کند.
با وجود این، سونوگرافی برای دیدن مخاط معده مناسب نیست و نمیتواند ضایعات کوچک را بهطور قابل اعتماد تشخیص دهد. به همین دلیل معمولاً از آن به عنوان یک روش تکمیلی برای بررسی گسترش سرطان به کبد یا غدد لنفاوی استفاده میشود. در برخی موارد، اندوسونوگرافی (EUS) که ترکیبی از سونوگرافی و اندوسکوپی است، برای ارزیابی دقیقتر مراحل سرطان کاربرد دارد و در واقع سونوگرافی بیشتر برای بررسی مشکلات شکمی و کبدی مرتبط با سرطان معده توصیه میشود.

تصویر برداری با اشعه ایکس (فلوروسکوپی)
فلوروسکوپی یک نوع تصویربرداری با اشعه ایکس است که به پزشک این امکان را میدهد تا بهصورت زنده و در حین حرکت، ساختارهای داخلی معده و سایر اندامها را مشاهده کند. در این روش، بیمار یک مایع خاص به نام ماده حاجب باریم را مینوشد که تصاویر اشعه ایکس را واضحتر میکند. این تکنیک برای شناسایی مشکلات ساختاری مانند زخمها، تودهها یا تغییرات غیرطبیعی در معده مفید است. این روش حساسیت کمی برای ضایعات کوچک و سطحی دارد. اگر نتیجه فلوروسکوپی غیرطبیعی بود، آندوسکوپی برای تأیید و نمونهبرداری ضرورت دارد.
نحوه تشخیص سرطان معده در آندوسکوپی
اندوسکوپی یکی از دقیقترین روشهای تشخیص سرطان معده است. در این روش، پزشک از طریق دهان یک لوله باریک و انعطافپذیر را که دارای دوربین و نور است، وارد مری و معده میکند تا وضعیت داخلی آن را بررسی کند. این روش امکان مشاهده مستقیم هرگونه تغییر غیرطبیعی در دیواره معده را فراهم میکند. با استفاده از روش تشخیص آندوسکوپی سرطان معده، پزشک میتواند زخمها، تودههای غیرطبیعی و نواحی مشکوک را شناسایی کند.
در صورت لزوم، حین انجام اندوسکوپی، نمونهبرداری (بیوپسی) نیز انجام میشود تا سلولهای مشکوک از نظر وجود سرطان بررسی شوند. روش تشخیص سرطان معده با آندوسکوپی، یکی از مهمترین ابزارهای با دقت بالا محسوب میشود. اندوسکوپی معمولاً تحت بیحسی موضعی انجام میشود و بیمار در طول فرایند احساس ناراحتی کمی دارد. همچنین، این روش در مقایسه با سایر روشهای تصویربرداری، اطلاعات جزئیتر و دقیقی در مورد وضعیت معده ارائه میدهد و امکان تشخیص زودهنگام بیماری را افزایش میدهد.
| روش | کارکرد کلیدی | محدودیت/پیگیری |
|---|---|---|
| سونوگرافی | کشف مایع آزاد؛ بررسی کبد و غدد لنفاوی؛ گاهی ضخیمشدن دیواره | ضایعات کوچک/مخاط را خوب نشان نمیدهد؛ تکمیلی و نیازمند تأیید با آندوسکوپی/بیوپسی |
| اندوسکوپی | مشاهدهٔ مستقیم ضایعات و امکان نمونهبرداری | تصویر تنها کافی نیست؛ تشخیص با بیوپسی تکمیل میشود |
| فلوروسکوپی (بلع باریم) | نشاندادن ناهنجاریهای ساختاری (زخم/توده/تغییرات) | حساسیت کم برای ضایعات کوچک/سطحی؛ نتیجهٔ غیرطبیعی ⇒ آندوسکوپی و بیوپسی |
| سیتیاسکن (CT) | مرحلهبندی: ضخیمشدن دیواره، غدد لنفاوی، متاستاز | تشخیص قطعی نمیدهد؛ یافتهها با پاتولوژی تأیید میشود |
| امآرآی (MRI) | ارزیابی دقیق بافت نرم/کبد/صفاق؛ جایگزین در محدودیت مادهٔ حاجب یددار | تشخیص قطعی نمیدهد؛ نقش تکمیلی کنار آندوسکوپی/پاتولوژی |
| بیوپسی | معیار طلاییِ تأیید نوع تومور و مارکرهای مولکولی | — (خودِ روشِ تشخیص قطعی) |
سی تی اسکن برای تشخیص سرطان معده
سیتیاسکن یک روش تصویربرداری است که برای تشخیص سرطان معده، مرحلهبندی و ارزیابی گسترش آن به سایر نواحی بدن استفاده میشود. این روش به کمک اشعه ایکس تصاویر دقیق از قسمتهای مختلف بدن ایجاد میکند و میتواند به پزشک کمک کند تا تومورها، متاستازها و آسیبهای احتمالی را شناسایی کند. همچنین سی تی اسکن میتواند ضخیمشدن دیواره معده، درگیری غدد لنفاوی و ارگانهای مجاور یا متاستاز دوردست را نشان دهد. در برخی بیماران، سیتیآنژیوگرافی یا پروتکلهای خاص برای ارزیابی دقیقتر توصیه میشود.
تشخیص سرطان معده با ام آر آی
ام آر آی (تصویربرداری تشدید مغناطیسی) یکی از روشهای پیشرفته تصویربرداری است که با استفاده از میدان مغناطیسی و امواج رادیویی تصاویری دقیق از ساختارهای نرم بدن ایجاد میکند. در مرحلهبندی سرطان معده، CT پایه است؛ MRI در موارد انتخابی (مثلاً بررسی متاستازهای کبدی/صفاقی یا منع کنتراست یددار) بهصورت مکمل استفاده میشود.
امآرآی وقتی مفید است که نیاز به ارزیابی دقیقتر کبد یا بافت نرم باشد یا وقتی مصرف ماده حاجب یددار سیتیاسکن به دلایل پزشکی محدود است. این روش بهویژه در بررسی متاستازهای کبدی یا صفاقی انتخاب خوبی است. با این حال، مانند سیتیاسکن، امآرآی تشخیص قطعی نمیدهد و نقش آن در کنار آندوسکوپی و پاتولوژی معنا پیدا میکند.
تشخیص سرطان معده با آزمایش و نمونه گیری
آزمایشهای تشخیص سرطان معده برای شناسایی زودهنگام این بیماری بسیار ضروری هستند و نقش مهمی در بهبود روند درمان دارند. آزمایشهای تشخیص سرطان معده به پزشک کمک میکنند تا برنامه درمانی مناسبی را تعیین کند و از آنجا که سرطان معده در مراحل اولیه ممکن است علائم خاصی نداشته باشد، تشخیص سریع و دقیق از اهمیت ویژهای برخوردار است.
آزمایشها به تنهایی سرطان را تأیید نمیکنند، اما سرنخهای مهمی میدهند. کمخونی، افزایش نشانگرهای التهابی یا اختلالات بیوشیمیایی میتوانند پزشک را به سمت بررسیهای تخصصیتر سوق دهند. نشانگرهای توموری مانند CEA یا CA 19-9 ممکن است بالا بروند، اما مختص سرطان معده نیستند و برای غربالگری عمومی توصیه نمیشوند. در نهایت، تشخیص سرطان معده بر پایه بیوپسی و پاتولوژی است و آزمایشها نقش پشتیبان دارند.

آزمایش خون سرطان معده
آزمایش خون یکی از روشهای کمکی در تشخیص سرطان معده است که به شناسایی نشانههای عفونت، التهاب یا تغییرات بیوشیمیایی در بدن کمک میکند. آزمایشهای خاص مانند اندازهگیری سطح آنتیژنها یا مارکرهای سرطان مانند CA 19-9 میتوانند به پزشک در ارزیابی وضعیت بیماری کمک کنند. این آزمایشها معمولاً به عنوان بخشی از یک برنامه تشخیصی جامع انجام میشوند.
آزمایش CBC میتواند کمخونی ناشی از خونریزی پنهان را نشان دهد و تستهای کبدی درگیرشدن کبد را مطرح کنند. نشانگرهایی مانند CEA و CA 19-9 گاهی افزایش پیدا میکنند اما برای تشخیص اولیه بهتنهایی کافی نیستند و بیشتر در پیگیری پاسخ به درمان بهکار میروند. اگر آزمایش خون طبیعی باشد ولی علائم پایدار بماند، ارزیابی با آندوسکوپی همچنان ضروری است.
متن انگلیسی:
my.clevelandclinic
Blood tests can offer information about how your organs are functioning. Poor organ function may indicate that cancer has spread to that organ.
متن فارسی:
آزمایش خون میتواند اطلاعاتی در مورد نحوه عملکرد ارگانهای بدن به شما بدهد. عملکرد ضعیف ارگانها ممکن است نشان دهد که سرطان به آن ارگان سرایت کرده است.
بیوپسی معده برای تشخیص سرطان معده
بیوپسی معده یکی از دقیقترین روشهای تشخیصی سرطان معده است. در این روش، پزشک نمونه کوچکی از بافت مشکوک را از دیواره معده برداشته و آن را در آزمایشگاه بررسی میکند. بیوپسی معمولاً در طی اندوسکوپی انجام میشود و اطلاعات بسیار دقیقی در مورد ماهیت سلولهای معده ارائه میدهد.
نمونهبرداری از بافت معده به پزشک کمک میکند تا نوع سرطان، میزان تهاجمی بودن آن و وجود تغییرات پیشسرطانی را تشخیص دهد. با استفاده از این روش، امکان افتراق میان سرطان معده بدخیم و خوش خیم فراهم میشود. بیوپسی معده معمولاً بدون درد است و بیماران پس از انجام آن نیازی به بستری شدن ندارند. نتایج این آزمایش میتواند به پزشک کمک کند تا تصمیمات درمانی مناسب را برای بیمار اتخاذ کند.
آزمایش مدفوع برای تشخیص سرطان معده
تست مدفوع یکی از روشهای اولیه برای شناسایی خون مخفی در مدفوع است که ممکن است نشانهای از خونریزی داخلی در دستگاه گوارش، باشد. خون مخفی خونهایی است که بهطور آشکار قابل مشاهده نیستند و فقط از طریق آزمایشات تشخیصی قابل شناساییاند. این خونریزی ممکن است به دلایل مختلفی مانند زخم معده، پولیپها، یا حتی سرطان معده ایجاد شود.
در صورتی که آزمایش مدفوع خون مخفی را نشان دهد، پزشک معمولاً آزمایشات دقیقتری مانند آندوسکوپی معده یا دیگر تصویربرداریها را برای بررسی وجود هرگونه بیماری جدی، از جمله سرطان معده، تجویز میکند. این آزمایشات کمک میکنند تا پزشک بتواند بهسرعت تشخیص دهد که آیا خونریزی به دلیل بیماریهای خطرناک است یا نه و درمان مناسب را شروع کند.
تشخیص سرطان معده با کولونوسکوپی
کولونوسکوپی روشی است که معمولاً برای بررسی روده بزرگ و تشخیص بیماریهای مرتبط با آن استفاده میشود. اگرچه این روش بهطور مستقیم برای تشخیص سرطان معده به کار نمیرود، اما در برخی موارد میتواند اطلاعاتی درباره ارتباط بین معده و روده ارائه دهد.
در این روش، یک لوله انعطافپذیر مجهز به دوربین از طریق مقعد وارد روده شده و پزشک میتواند دیوارههای داخلی آن را بررسی کند. در صورت مشاهده ضایعات مشکوک، نمونهبرداری انجام میشود تا وجود سلولهای سرطانی تأیید گردد. با این حال، برای تشخیص قطعی سرطان معده، معمولاً روشهایی مانند اندوسکوپی معده، سیتی اسکن و اندوسونوگرافی مؤثرتر هستند. اگر علامتهای شما بیشتر به بخش فوقانی دستگاه گوارش مربوط باشد، اولویت با آندوسکوپی است و کولونوسکوپی در صورت لزوم انجام میشود.
تشخیص سرطان معده در چند دقیقه
هیچ روش قطعی برای تشخیص سرطان معده در چند دقیقه وجود ندارد، زیرا تشخیص نهایی به مشاهده ضایعه و جواب پاتولوژی نیاز دارد. با این حال، اگر معیارهای هشداردهنده دارید، پزشک میتواند همان روز تصمیم بگیرد که آندوسکوپی ضروری است و فرآیند تشخیص را تسریع کند.
تست سرطان معده در منزل
تست خانگی قابل اعتمادی برای تشخیص سرطان معده وجود ندارد. برای تشخیص دقیق، نیاز به آزمایشهای تخصصی مانند آندوسکوپی و بیوپسی است که تنها توسط پزشک انجام میشود. کیتهای خانگی در بهترین حالت میتوانند وجود خون مخفی را مطرح کنند که دهها علت غیرسرطانی هم دارد. تکیه بر تست سرطان معده در منزل میتواند باعث تأخیر خطرناک شود. اگر علائم هشداردهنده دارید، بهترین کار هماهنگی سریع برای آندوسکوپی و ارزیابی تخصصی است.

تفسیر نتایج آزمایش و تصویربرداری برای تشخیص سرطان معده
با کنار هم گذاشتن علائم، تایج آزمایشهای تصویربرداری و گزارش پاتولوژی. تصویر غیرطبیعی بدون بیوپسی تشخیص را اثبات نمیکند و پاتولوژی مثبت بدون مرحلهبندی تصویربرداری نقشه درمانی دقیقی ارائه نمیدهد. در نتایج آزمایش اصطلاحاتی مانند ضخیمشدن دیواره، آدنopathy لنفاوی، متاپلازی رودهای یا دیسپلازی دیده میشود که هرکدام پیام متفاوتی دارند. پزشک با جمعبندی این دادهها مرحله بیماری را تعیین میکند و بر اساس آن درباره جراحی، شیمیدرمانی یا درمانهای هدفمند تصمیم میگیرد.
تفسیر جواب آزمایش سرطان معده
در آزمایش خون ممکن است کمخونی میکروسیتیک ناشی از خونریزی پنهان، افزایش نشانگرهای التهابی یا اختلالات خفیف کبدی دیده شود. اگر برگه آزمایش سرطان معده مثبت از نظر خون مخفی باشد، این یافته فقط یک زنگ هشدار است و باید با آندوسکوپی پیگیری شود. حتی اگر همه آزمایشها طبیعی باشند، وجود علائم پایدار دلیل کافی برای ادامه بررسی است. هیچ آزمایش خونی بهتنهایی سرطان معده را قطعی نمیکند.
نمونه جواب پاتولوژی سرطان معده
در گزارش پاتولوژی معمولا نوع تومور مانند آدنوکارسینوم، درجه تمایز، عمق درگیری مخاط، مرحله بیماری و گاهی وضعیت حاشیه نمونه ذکر میشود. ممکن است مارکرهای مولکولی و ایمونوهیستوشیمی مانند HER2 یا MSI نیز گزارش شوند که به انتخاب درمان هدفمند کمک میکنند. نتیجه پاتولوژی کنار مرحلهبندی تصویربرداری مسیر درمان را تعیین میکند. اگر گزارش نامشخص باشد، تکرار نمونهبرداری یا نظر دوم پاتولوژی توصیه میشود.
برای سرطان معده به چه دکتری مراجعه کنیم؟
برای اطلاع بیشتر درباره سرطان معده می توانید از بهترین دکترهای گوارش ایران نوبت بگیرید.
در ادامه لیستی از برجسته ترین پزشکان گوارش در برخی شهرهای مختلف ایران را مشاهده میکنید:
نتیجه گیری
برای پاسخ به سوال از کجا بفهمیم سرطان معده داریم باید به علائمی مانند کاهش وزن ناگهانی، درد یا سوزش معده، سیری زودرس، تهوع مداوم و وجود خون در مدفوع توجه کرد. این نشانهها ممکن است در مراحل اولیه بیماری خفیف باشند، اما اگر بیش از دو هفته ادامه یابند، مراجعه به پزشک ضروری است. پزشک از طریق بررسی سابقه پزشکی، آزمایش خون، اندوسکوپی و در برخی موارد بیوپسی، تشخیص دقیق را انجام میدهد. تشخیص زودهنگام نقش مهمی در موفقیت درمان دارد، بنابراین اگر علائم گوارشی غیرعادی دارید، نباید آنها را نادیده بگیرید.
دکترتو مراقب سلامتی شماست!

