فهرست مطالب
وقتی سرفه، تب یا احساس سنگینی در قفسه سینه ادامهدار میشود، ممکن است پای عفونت ریه در میان باشد؛ اختلالی تنفسی که بهدلیل ورود باکتریها، ویروسها یا قارچها به بافت ریه ایجاد میشود و در صورت بیتوجهی، میتواند عملکرد طبیعی تنفس را مختل کند. شدت این بیماری از التهاب خفیف تا نارسایی تنفسی متغیر است و در کودکان، سالمندان و افراد با سیستم ایمنی ضعیف بیشتر دیده میشود. در ادامه این مطلب از دکترتو، درباره علل، نشانهها و درمان مؤثر عفونت ریه بیشتر میخوانید.
عفونت ریه چیست؟
عفونت ریه یکی از انواع بیماری ریه است و زمانی رخ میدهد که یک میکروب مانند باکتری، ویروس، قارچ یا سایر عوامل بیماریزا وارد ریهها شده و باعث التهاب و آسیب در بافتهای ریه میشوند. این التهاب میتواند عملکرد تنفسی را مختل کرده و منجر به علائمی مانند سرفه، تب، تنگی نفس و درد قفسه سینه شود. انواع بیماریهای ریه ممکن است یک یا هر دو ریه را درگیر کرده و در صورت عدم درمان به موقع، میتواند به عوارض جدی مانند نارسایی تنفسی، سپسیس یا آسیب به سایر اعضای بدن منجر شود.
انواع عفونت ریه
عفونتهای ریه به طور کلی به دو دسته عمده تقسیم میشوند. نخست عفونتهای ویروسی که اغلب در پی سرماخوردگی یا آنفلوانزا رخ میدهند و معمولاً با تب خفیف، سرفه خشک یا خلطی و بدن درد همراهند. دوم عفونتهای باکتریایی که میتوانند شدیدتر باشند، تب بالاتر، خلط چرکی و درد قفسه سینه ایجاد کنند و گاه به آنتی بیوتیک سیستمیک نیاز دارند. در افراد با نقص ایمنی یا بیماریهای مزمن، عفونتهای قارچی نیز ممکن است مطرح شود و درمانهای اختصاصی میطلبد.
از منظر محل ابتلای عفونت ریه هم میتوان به برونشیت حاد، برونشیولیت، ذاتالریه لوبار، بینابینی یا آسپیراسیون اشاره کرد. علاوه بر اینها عفونتهای بیمارستانی و مرتبط با ونتیلاتور الگوهای مقاومتری دارند و باید به شکل دقیق در ای سی یو مدیریت شوند. در ادامه، به بررسی انواع مختلف عفونت ریه و ویژگیهای هر کدام خواهیم پرداخت تا بتوانید با شناخت بهتر علائم و روشهای درمان، مراقبتهای لازم را انجام دهید.
- ذات الریه (پنومونی): بهوسیله باکتریها، ویروسها یا قارچها ایجاد میشود و باعث التهاب در ریهها میشود
- برونشیت ریه حاد و مزمن: برونشیت حاد معمولاً ویروسی است و آنتیبیوتیک لازم ندارد. برونشیت مزمن زیرمجموعه COPD بوده و علت اصلی آن تحریک طولانیمدت راههای هوایی (بهویژه سیگار) است
- عفونتهای قارچی: معمولاً در افرادی که سیستم ایمنی ضعیف دارند رخ میدهد
- سل ریه: توسط مایکوباکتریوم توبرکلوزیس ایجاد میشود و به تدریج به بافتهای ریه آسیب میزند
- عفونتهای ویروسی ریه: توسط ویروس آنفولانزا، ویروس کرونا (COVID-19) و ویروس سنسیشیال تنفسی (RSV)
- آبسه ریه: تجمع عفونت با ایجاد کیسههای پر از مایع و چرک در ریهها معمولاً به دلیل عفونتهای باکتریایی
در ادامه برخی از شایع ترین عفونت های ریوی را مشاهده میکنید.
| نوع عفونت | عامل | الگوی درگیری/محل |
|---|---|---|
| ذاتالریه (پنومونی) | باکتری؛ ویروس؛ قارچ | درگیری بافت ریه؛ میتواند لوبار؛ بینابینی باشد |
| برونشیت حاد | اغلب ویروسها | التهاب برونشها با سرفه و تولید مخاط |
| عفونتهای ویروسی ریه (آنفلوانزا؛ COVID-19؛ RSV) | ویروس | درگیری منتشر راههای هوایی و ریه |
| سل ریه | باکتری (مایکوباکتریوم توبرکلوزیس) | آسیب تدریجی بافت ریه |
| عفونتهای قارچی ریه | قارچ (در نقص ایمنی شایعتر) | درگیری بافت ریه در افراد با ضعف ایمنی |
| آبسه ریه | عمدتاً باکتریایی | حفرهٔ پر از چرک داخل ریه |
| آمپیم (عفونت فضای پلور) | عمدتاً باکتریایی | تجمع چرک در فضای پلور |
| پنومونی آسپیراسیون | سایر/آسپیرهٔ محتویات معده (اغلب باکتریهای دهانی) | درگیری نواحی وابسته به جاذبه در ریه |
عفونت ریه در سالمندان
علائم عفونت ریه در سالمندان به دلیل کاهش ذخیره تنفسی، تغییرات ایمنی و وجود بیماریهای زمینهای، میتواند مبهمتر و خطر عوارض بیشتر باشد. تب ممکن است واضح نباشد و نشانههایی مانند بی حالی، گیجی، افت فشار یا بی اشتهایی دیده شود. تشخیص زودهنگام، شروع سریع درمان و توجه به آب رسانی، تغذیه و فیزیوتراپی تنفسی اهمیت زیادی دارد.
عفونت ریه در کودکان و نوزادان
کودکان به ویژه آنهایی که زیر دو سال سن دارند، راههای هوایی باریکتری دارند به همین دلیل ترشحات سریعتر باعث تنگی نفس و خس خس سینه میشود. علائم میتواند شامل تب، سرفه، تنفس تند، فرورفتگی بین دندهها و بدغذایی باشد. در نوزادان بی حالی، مکیدن ضعیف و تغییر رنگ پوست میتواند زنگ خطر باشد. عفونت ریه در کودکان میتواند از راههای مختلفی پخش شود و عوامل متعددی در انتقال آن نقش دارند. ویروسها و باکتریهایی که به طور طبیعی در بینی یا گلو کودک وجود دارند، میتوانند با استنشاق به ریهها منتقل شده و آنها را آلوده کنند.
این میکروبها همچنین میتوانند از طریق قطرات هوای ناشی از سرفه یا عطسه فرد مبتلا به دیگران منتقل شوند و باعث ایجاد عفونت ریه در کودکان شوند. علاوه بر این، در مواردی خاص، عفونت ریه ممکن است از طریق جریان خون نیز گسترش یابد؛ این حالت به ویژه در هنگام تولد یا بلافاصله پس از تولد نوزادان رخ میدهد، زمانی که سیستم ایمنی کودک هنوز به طور کامل توسعه نیافته و نسبت به عفونتها آسیبپذیرتر است.
عفونت ریه تراکستومی
تراکستومی ایجاد یک سوراخ کنترل شده روی نای و قراردادن لوله تراکئوستومی است تا تنفس در انسداد راه هوایی یا نیاز طولانی به ونتیلاتور برقرار بماند. در این شرایط چون فیلتر و رطوبت طبیعی بینی و حلق کنار گذاشته میشود، هوا خشکتر است و ترشحات غلیظتر میشوند و دفاعهای راه هوایی کاهش مییابد. به همین دلیل این بیماران در معرض کلونیزاسیون میکروبی لوله، آسپیراسیون و در نهایت عفونت ریه هستند. در صورت تب، افزایش و تغییر رنگ خلط یا افت اشباع اکسیژن، باید با ارزیابی پزشکی، تصویربرداری و کشت ترشحات، درمان هدفمند با آنتی بیوتیک و بهینه سازی پاکسازی راه هوایی انجام شود.
متن انگلیسی:
healthline
One of the most common lung infections is pneumonia. It’s most often caused by contagious bacteria but can also be caused by a virus or fungus
ترجمه متن:
یکی از شایعترین عفونتهای ریه، ذاتالریه است. ذاتالریه اغلب توسط باکتریهای مسری ایجاد میشود، اما یک ویروس یا قارچ هم میتوانند در ایجاد آن موثر باشند.
علائم عفونت ریه
نشانه های عفونت ریه بسته به عامل و سن بیمار متغیر است، اما به طور کلی شامل تب، لرز، سرفه و تنگی نفس میشود. در علائم عفونت ریه در بزرگسالان ممکن است شامل درد قفسه سینه هنگام نفس عمیق، تعریق شبانه، خلط چرکی یا زرد و خستگی شدید باشد. عفونت شدید ریه میتواند باعث بروز علائم جدیتری نسبت به عفونتهای خفیف شود و در صورت بیتوجهی، خطر عوارض جدی برای سلامت بیمار را به همراه داشته باشد. شناخت این الگوها به شروع سریع درمان کمک میکند. نحوه پاسخ بدن به عفونت ریه به نوع میکروب عامل عفونت، سن و سلامت کلی بدن بستگی دارد. با اینحال رایجترین علائم عفونت ریه عبارتند از:
- سرفه
- تب یا احساس تب و لرز
- سرفه خشک یا همراه با خلط زرد و سبز
- تنگی نفس یا نفس نفس زدن
- درد قفسه سینه با تنفس یا سرفه
- خستگی، ضعف و کاهش اشتها
- در موارد شدید، کبودی لبها یا ناخنها و گیجی
- از دست دادن اشتها، انرژی و ایجاد حالت خستگی
- حالت تهوع و استفراغ به خصوص در کودکان کم سن
- احساس سردرگمی و کلافگی به ویژه در افراد مسن

علائم عفونت ریه و معده
گاهی التهاب ریه با درگیری دستگاه گوارش همراه میشود، به ویژه در عفونتهای ویروسی یا آسپیراسیون که محتویات معده وارد ریه میشود. این حالت میتواند علائم شکمی مانند تهوع، استفراغ یا درد اپی گاستر ایجاد کند و همزمان سرفه و تب را تشدید کند. توجه به این همپوشانی، پزشک را به سمت تشخیص احتمالی آسپیراسیون و اصلاح عوامل خطر مانند ریفلاکس یا اختلال بلع هدایت میکند. علائم گوارشی عفونت ریه عبارت است از:
- تهوع و استفراغ
- درد یا سوزش سردل
- نفخ و بی اشتهایی
- طعم ترش در دهان یا سرفه پس از غذا
- بدتر شدن تنگی نفس هنگام دراز کشیدن
علائم عفونت ریه و سرفه خشک
سرفه خشک در شروع عفونتهای ویروسی شایع است و ممکن است به مرور با تولید خلط همراه شود. سرفه میتواند به دلیل تحریک گیرندههای راه هوایی و التهاب دیواره برونشها ایجاد شود و شبها آزاردهندهتر باشد. در صورت تداوم بیش از چند روز، همراهی با تب بالا، درد قفسه سینه یا تنگی نفس، ارزیابی پزشکی لازم است تا تشخیص ذاتالریه، آسم یا تشدید COPD رد شود.
علائم عفونت ریه در کودکان
در کودکان نشانههای عفونت میتواند سریعتر پیشرفت کند و تنفس سریع شاخص مهمی است. بی قراری، بی حالی، امتناع از غذا و صدای خس خس از دیگر علائم هستند. والدین باید به فرورفتگی بین دندهها، باز و بسته شدن پرههای بینی و تغییر رنگ لبها توجه کنند. برخی از علائم عفونت ریه در کودکان عبارت است از:
- تب و بی قراری
- تندنفسی و فرورفتگی قفسه سینه
- خس خس سینه
- سرفه مداوم با یا بدون خلط
- کم اشتهایی و استفراغ پس از سرفه
در نوزادان علائم میتواند بسیار ظریف باشد. بی حالی، مکیدن ضعیف، رنگ پریدگی یا کبودی اطراف دهان، تب یا حتی کاهش دما و تندنفسی نیازمند مراجعه فوری است. هر گونه توقف تنفسی یا وقفههای کوتاه در تنفس باید جدی گرفته شود.

علت عفونت ریه چیست؟
عوامل گوناگونی میتوانند زمینهساز عفونت ریه باشند. تماس نزدیک در فصلهای سرد با فرد ناقل ویروس، بیماریهای مزمن مانند آسم و COPD، سیگار، و آلودگی هوا سدهای دفاعی راه هوایی را تضعیف میکنند. در سالمندان، کودکان و بیماران با نقص ایمنی احتمال عفونت بیشتر و شدیدتر است. بهطورکلی دلایل عفونت ریه عبارت است از:
- عفونتهای ویروسی مانند آنفلوانزا و RSV
- باکتریها مانند پنوموکوک، هموفیلوس و استافیلوکوک
- آسپیره شدن محتویات معده در اختلال بلع یا ریفلاکس
- مصرف سیگار و در معرض دود بودن
- بیماریهای مزمن ریوی، قلبی یا دیابت
- نقص ایمنی، مصرف کورتون طولانی یا شیمی درمانی
- بستری و تهویه مکانیکی
- آلودگی هوا
از کجا بفهمیم ریه عفونت کرده است؟
پزشک به الگوی تب، نوع سرفه، درد قفسه سینه، تنگی نفس و یافتههای سمع مانند رال و خس خس توجه میکند. سپس برای تأیید و تعیین شدت، آزمایش خون، تصویربرداری و در مواردی نمونهگیری از خلط یا راه هوایی انجام میشود. عفونت ریه را میتوان به طرق مختلفی تشخیص داد. از جمله رایجترین روشهای تشخیص عفونت ریه میتوان به موارد زیر اشاره کرد:
- معاینه و ارزیابی علائم حیاتی و اشباع اکسیژن
- آزمایش خون شامل شمارش سلولها و نشانگرهای التهاب
- رادیوگرافی قفسه سینه و در صورت نیاز سی تی اسکن
- کشت و رنگ آمیزی خلط یا سواب حلق
- ارزیابی گازهای خون شریانی در موارد شدید

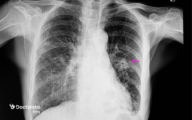
رادیولوژی عفونت ریه
رادیوگرافی قفسه سینه نخستین ابزار تصویربرداری برای ارزیابی الگوی درگیری ریه است و میتواند تراکم لوبار، ارتشاح بینابینی یا نشانههای آب آوردن ریه را نشان دهد. در موارد پیچیدهتر یا وقتی عکس ساده کافی نیست، سی تی اسکن جزئیات بیشتری از محل و وسعت التهاب و وجود آبسه یا آمپیم به دست میدهد. تفسیر دقیق تصاویر به تصمیم درباره نوع آنتی بیوتیک، نیاز به بستری یا مداخله کمک میکند. پایش تصویری در طول درمان نیز روند بهبود یا لزوم تغییر رویکرد را نشان میدهد.
برونکوسکوپی عفونت ریه
برونکوسکوپی روشی است که با یک لوله باریک و انعطاف پذیر مجهز به دوربین از طریق بینی یا دهان وارد راه هوایی میشود و پزشک میتواند داخل برونشها را ببیند. این روش به ویژه زمانی مفید است که نیاز به نمونه برداری دقیق از ترشحات یا بافت برای تشخیص عامل عفونت وجود دارد یا انسداد و جسم خارجی مشکوک باشد.
راه درمان عفونت ریه
درمان عفونت ریه به عامل ایجادکننده، شدت علائم، سن و بیماریهای زمینهای بستگی دارد. در عفونتهای ویروسی خفیف، استراحت، مصرف مایعات گرم، کنترل تب و مراقبت حمایتی معمولاً کافی است. در عفونتهای باکتریایی یا موارد شدید، آنتی بیوتیک مناسب طبق نظر پزشک آغاز میشود و اگر اشباع اکسیژن پایین باشد اکسیژن تراپی انجام میگیرد. خلط غلیظ باید با رطوبت رسانی، بخور و داروهای خلط آور رقیق و تخلیه شود تا تبادل گاز بهتر شود.
در افراد پرخطر یا با علائم عفونت ریه شدید، بستری در بیمارستان برای پایش علائم حیاتی، سرم درمانی، آنتی بیوتیک وریدی و انجام آزمایشهای تکمیلی ضروری است. اگر مایع در فضای جنب تجمع شود و آمپیم یا آبسه مطرح باشد، با درن قفسه سینه یا جراحی عفونت را تخلیه میکنند. در عفونتهای مرتبط با ونتیلاتور تنظیمات دستگاه، رعایت پروتکلهای پیشگیری و انتخاب آنتی بیوتیک بر اساس الگوی مقاومت بیمارستان اهمیت دارد.
در بیماران COPD یا آسم، استفاده درست از برونکودیلاتورها و کورتیکواستروئید استنشاقی طبق دستور پزشک میتواند به کاهش التهاب و باز شدن راه هوایی کمک کند. پیگیری بعد از درمان برای اطمینان از بهبود بالینی و تصویری ضروری است و در سیگاریها ترک سیگار بخش حیاتی درمان محسوب میشود. همچنین تغذیه کافی با پروتئین و کالری مناسب به ترمیم بافتها کمک میکند و نوشیدن آب کافی خلط را رقیق میسازد. در موارد قارچی یا غیرمعمول، ارجاع به متخصص ریه و عفونی برای درمان هدفمند لازم است. به طور کلی شروع زودهنگام درمان، پیروی کامل از دوره دارویی و مدیریت عوامل خطر، احتمال عوارض را کاهش میدهد. در ادامه روشهای درمان عفونت ریه را توضیح خواهیم داد.
عمل جراحی عفونت ریه
در موارد پیچیده که آبسه ریوی، آمپیم یا تخریب گسترده بافتی وجود دارد، جراحی میتواند به تخلیه عفونت و پیشگیری از انتشار کمک کند. تصمیم برای جراحی پس از ارزیابی دقیق تصویربرداری و پاسخ ناکافی به درمان دارویی گرفته میشود. در ای سی یو، مدیریت راه هوایی، اکسیژناسیون، تهویه مکانیکی محافظ ریه و آغاز آنتی بیوتیکهای وریدی بر اساس دستورالعملها اجرا میشود.
در بیماران بعد از عمل قلب باز که به علت بی حرکتی نسبی، درد قفسه سینه و کاهش تهویه آلوئولی مستعد عفونت هستند، اسپیرومتری تشویقی، فیزیوتراپی تنفسی، کنترل درد و تحرک زودرس نقش پیشگیری و درمانی دارند. انتخاب آنتی بیوتیک در این گروه باید الگوهای مقاومت بیمارستانی را در نظر بگیرد و در صورت تجمع مایع جنب، تخلیه با درن انجام شود.

دارو برای پاکسازی ریه از عفونت
هدف دارودرمانی، ریشه کن کردن عامل میکروبی، کاهش التهاب و پاکسازی ریه از عفونت و خلط است. پزشک بر اساس نوع عفونت، سن، عملکرد کلیه و کبد و الگوی مقاومت منطقهای، آنتی بیوتیک مناسب را تجویز میکند. در کنار آن، داروهای خلط آور، مرطوب کننده راه هوایی و گاه برونکودیلاتور برای باز کردن برونشها استفاده میشود. مصرف صحیح و تکمیل دوره دارو از بازگشت عفونت و مقاومت میکروبی پیشگیری میکند. برخی از داروهای کاربردی برای پاکسازی عفونت ریه عبارتند از:
- آنتی بیوتیکهای خوراکی یا وریدی طبق تشخیص پزشک
- اکسپکتورانتها برای رقیق کردن خلط
- تببرها و ضد دردها برای کنترل علائم
- در موارد خاص، داروهای ضد ویروس یا ضد قارچ
بهترین قرص آنتی بیوتیک برای عفونت ریه
انتخاب آنتیبیوتیک عفونت ریه به شدت، عوامل خطر و آلرژی بستگی دارد؛ در CAP خفیف معمولاً آموکسیسیلین یا آلترناتیو مناسب به مدت ۵ روز تجویز میشود. فلوروکینولونها (مثل لووفلوکساسین) فقط در موارد منتخب و با توجه به هشدارهای ایمنی استفاده شوند. این دارو به دلیل توانایی نفوذ بالا در بافتهای ریوی و فعالیت ضدمیکروبی قوی در برابر باکتریهای معمول مسبب این نوع عفونتها، انتخابی موثر است. دوز معمول ۵۰۰ تا ۷۵۰ میلیگرم، یک بار در روز به مدت ۷-۱۴ روز است.
قرص آزیترومایسین در کنار نقش در برخی عفونتهای تنفسی، برای پیشگیری/درمان MAC منتشر در افراد HIV با CD4 پایین استفاده میشود و این کاربرد را نباید با «عفونت ریهٔ معمول» اشتباه کرد. برخی از این داروها که به کاهش التهاب و از بین بردن باکتریهای عامل عفونت کمک میکنند، عبارتند از:
- آموکسیسیلین: برای درمان عفونتهای باکتریایی معمولی ریه مانند ذاتالریه
- لووفلوکساسین: یک آنتیبیوتیک وسیعالطیف برای عفونتهای ریه باکتریایی مقاوم به آنتیبیوتیکهای معمول
- کوآموکسیکلاو: ترکیب آموکسیسیلین و کلاولانیک اسید، مؤثر در درمان عفونتهای ریه و سینوسها
- آزیترومایسین: برای درمان عفونتهای تنفسی باکتریایی، مانند برونشیت و ذاتالریه
- اسلتامیویر: برای درمان عفونتهای ویروسی ریه، مانند آنفولانزا
- داکسیسایکلین: برای درمان عفونتهای ریه باکتریایی، بهویژه در موارد برونشیت مزمن
شربت برای تخلیه عفونت ریه
شربتهای اکسپکتورانت با افزایش آبکی شدن ترشحات به تخلیه خلط کمک کرده و سرفههای خلط دار را آسانتر میکنند. در کودکان باید فرم مناسب سن، دوز دقیق و ایمنی دارو با نظر پزشک انتخاب شود. برخی ترکیبات گیاهی ممکن است مفید باشند اما جایگزین آنتی بیوتیک در عفونت باکتریایی نیستند. نوشیدن مایعات گرم و بخور، اثر این شربتها را تقویت میکند. شربتهای گیاهی مانند پلارژین ممکن است در برونشیت حاد خفیف بهعنوان مکمل علائم کمک کنند، اما برای عفونتهای ریه (پنومونی) شواهد کافی ندارند و جایگزین درمانهای استاندارد نیستند.

بهترین آمپول برای عفونت ریه
برای درمان عفونتهای ریه، آمپولهای مختلفی بسته به نوع و شدت عفونت تجویز میشوند. این آمپولها معمولاً برای عفونتهای باکتریایی شدید یا در بیمارانی که به داروهای خوراکی پاسخ نمیدهند، استفاده میشوند. این آمپولها تنها باید تحت نظر پزشک و پس از تشخیص دقیق تجویز شوند، زیرا مصرف نادرست میتواند منجر به مقاومت دارویی یا عوارض جانبی جدی شود. برخی از انواع آمپول عفونت ریه عبارت است از:
- آزیترومایسین: آنتیبیوتیک از گروه ماکرولیدها، مؤثر در درمان عفونتهای باکتریایی ریه مانند ذاتالریه، بهویژه در بیمارانی که نمیتوانند داروهای خوراکی مصرف کنند
- سفتریاکسون: آنتیبیوتیک قوی از گروه سفالوسپورینها، برای درمان عفونتهای باکتریایی ریه، از جمله ذاتالریه
- مروپنم: آنتیبیوتیک وسیعالطیف برای درمان عفونتهای شدید ریوی ناشی از باکتریهای مقاوم به سایر آنتیبیوتیکها
- پنیسیلین G: در سویههای حساس مشخص کاربرد دارد و درمان استاندارد CAP خفیف معمولاً آموکسیسیلین است
- کلیندامایسین و وانکومایسین: برای عفونتهای مقاوم به درمانهای معمول و عفونتهای شدید استفاده میشوند
درمان خانگی عفونت ریه
برای تسکین علائم عفونت ریه و کمک به بهبودی، چندین روش درمان خانگی وجود دارد که میتواند مؤثر باشد. روشهای درمان عفونت ریه در خانه عمدتاً به باز کردن مجاری تنفسی و کاهش التهاب کمک میکنند. در عفونتهای شدید یا مزمن، مشاوره پزشکی ضروری است. در کودکان تب بالا، تندنفسی یا بی حالی نیاز به مراجعه فوری دارد. اگر علائم طی ۴۸ تا ۷۲ ساعت بهتر نشد یا بدتر شد، پیگیری پزشکی ضروری است. روشهای درمان خانگی عفونت ریه بزرگسالان عبارتند از:
- مصرف مایعات گرم مانند آب و سوپ
- استراحت کافی
- اجتناب از دخانیات
- بالا نگه داشتن سر هنگام خواب
- بخور ملایم و حفظ رطوبت اتاق
- تغذیه سبک و سرشار از پروتئین و سبزیجات
- داروهای مسکن OTC و ضد احتقان
برای عفونت ریه چه بخوریم؟
برای تقویت سیستم ایمنی و تسکین علائم عفونت ریه، مصرف برخی مواد غذایی و نوشیدنیها میتواند مؤثر باشد. وعدههای کوچک و پرکالری، پروتئین کافی و میوه و سبزی غنی از آنتی اکسیدان توصیه میشود. دمنوشهایی مانند زنجبیل یا آویشن ممکن است سرفه را کاهش دهد اما درمان اصلی نیست و در بارداری یا بیماریهای خاص باید با پزشک هماهنگ شود. مصرف آب کافی خلط را رقیق میکند و از کم آبی پیشگیری میکند. موارد زیر به کاهش التهاب، تسهیل تنفس و بهبود عملکرد ریهها کمک میکنند:
- زنجبیل: ضدالتهاب طبیعی که به تسکین گلو و ریهها کمک میکند
- چای سبز: غنی از آنتیاکسیدانها که به تقویت سیستم ایمنی کمک میکند
- زردچوبه: خواص ضد التهابی قوی برای کاهش تورم در مجاری تنفسی
- سیب: سرشار از فیبر و ویتامین C که به تقویت سیستم ایمنی کمک میکند
- گوجه فرنگی: منبع خوب ویتامین C و لیکوپن برای تقویت سیستم ایمنی
- بلوبری: حاوی آنتیاکسیدانهای قوی برای تقویت دفاع بدن
- دمنوشهای گیاهی: مانند بابونه و نعناع که به آرامش و کاهش التهاب کمک میکنند
- آب عسل داغ: مرطوبکننده گلو و کمک به کاهش سرفه
- عدس: غنی از پروتئین و مواد مغذی برای تقویت سیستم ایمنی
- شیرین بیان: خواص ضدالتهابی و تسکیندهنده گلو و دستگاه تنفسی
- آجیل: منبع غنی از ویتامینها و مواد مغذی که به تقویت سیستم ایمنی کمک میکند

چه میوه ای برای عفونت ریه خوب است؟
با توجه به وجود آنتی اکسیدان کوئرستین، ثابت شده که مصرف سیب بیماری و آسیب به ریه را کاهش میدهد؛ حتی اگر آسیب ریه ناشی از مصرف سیگار باشد. براساس نتیجه تحقیقات، افرادی که تعداد پنج عدد یا بیشتر سیب در هفته میخورند در معرض کاهش خطر ابتلا به عفونت ریه هستند. میوهها و سبزیجات دارای ویتامینها و مواد معدنی ک سیستم ایمنی بدن را تقویت میکنند هم برای مبارزه با عفونتهای ریه مفید هستند.
میوههای سرشار از ویتامین سی و آنتی اکسیدان مانند پرتقال، کیوی، توتها و انار میتوانند به عملکرد سیستم ایمنی کمک کنند. موز، سیب و گلابی نیز به دلیل تحمل آسان و فیبر مناسب در دوره بیماری مفیدند. اگر ریفلاکس دارید، مرکبات را با نظر پزشک مصرف کنید. تنوع در مصرف میوهها بهتر از تمرکز بر یک مورد است.
عوارض عفونت ریه
عفونتهای ریه میتوانند عوارض جدی و حتی تهدیدکننده زندگی به همراه داشته باشند، به ویژه اگر بهموقع درمان نشوند یا درمان به درستی انجام نگیرد. این عوارض میتوانند علاوه بر آسیب به ریهها، به سایر ارگانهای بدن نیز آسیب برسانند و کیفیت زندگی بیمار را تحت تاثیر قرار دهند. عوارض ممکن است شامل موارد زیر باشند:
- سندرم دیسترس تنفسی حاد (ARDS)
- نارسایی تنفسی
- سپسیس یا عفونت منتشر در بدن
- آبسه ریه
- مشکلات قلبی
مرگ بر اثر عفونت ریه
ذاتالریه به ویژه در افرادی که در گروههای پرخطر قرار دارند، میتواند منجر به مرگ شود. پنومونی باکتریایی هم بیشتر اوقات منجر به بستری شدن در بیمارستان میشود. با این حال، پنومونی ویروسی و قارچی نیز میتواند باعث عوارض جدی مانند مرگ بر اثر عفونت ریه شوند. البته که چندین واکسن خطر ابتلا به بیماریهای جدی ناشی از ذاتالریه و احتمال عوارضی همچون مرگ در اثر ابتلا به این بیماریها را کاهش میدهند.
آب آوردن ریه بر اثر عفونت
التهاب شدید میتواند باعث نشت مایع به فضای جنب شود و احساس سنگینی قفسه سینه و تنگی نفس ایجاد کند. اگر مایع عفونی شود، آمپیم شکل میگیرد که معمولاً نیاز به درن قفسه سینه و آنتی بیوتیک وریدی دارد. تشخیص با تصویربرداری و سونوگرافی جنب انجام میشود و تخلیه به موقع از فیبروز جنب و محدودیت حرکتی ریه پیشگیری میکند.
راه های پیشگیری از ابتلا به عفونت ریه
برای کاهش خطر ابتلا به عفونتهای ریه و حفظ سلامت سیستم تنفسی، رعایت برخی نکات بهداشتی و تغییرات در سبک زندگی اهمیت زیادی دارد. این اقدامات میتوانند به تقویت سیستم ایمنی بدن و جلوگیری از گسترش عفونتها کمک کنند:
- واکسیناسیون: دریافت واکسنهای آنفولانزا و پنوموکوک میتواند از ابتلا به عفونتهای ریوی جلوگیری کند
- رعایت بهداشت دستها: شستن منظم دستها و استفاده از ضدعفونیکنندهها، خطر انتقال عفونتها را کاهش میدهد
- دوری از افراد مبتلا: اجتناب از تماس نزدیک با افراد بیمار میتواند از ابتلا به عفونتهای تنفسی پیشگیری کند
- عدم مصرف سیگار: ترک سیگار به سلامت ریهها کمک کرده و خطر عفونتهای ریوی را کاهش میدهد
- تقویت سیستم ایمنی: تغذیه سالم، خواب کافی و ورزش منظم به تقویت ایمنی بدن کمک میکند
- محیط مرطوب و تمیز: استفاده از دستگاه بخور در محیطهای خشک میتواند از تحریک ریهها جلوگیری کن.د
- استفاده از ماسک: در فضاهای شلوغ یا هنگام شیوع بیماریها، ماسک میتواند به کاهش خطر ابتلا کمک کند
نتیجه گیری
عفونت ریه یکی از بیماریهای شایع دستگاه تنفسی است که گاهی میتواند خطرناک باشد. شدت بیماری به نوع میکروب، قدرت سیستم ایمنی و وجود بیماریهای زمینهای بستگی دارد. تشخیص بهموقع با معاینه و تصویربرداری، نقش مهمی در موفقیت درمان دارد. درمان این بیماری معمولاً شامل داروهای ضدعفونیکننده یا آنتیبیوتیک و مراقبتهای حمایتی است تا التهاب کاهش پیدا کند و ریهها بهتر کار کنند. رعایت بهداشت، واکسیناسیون و ترک سیگار از بهترین روشهای پیشگیری هستند. آگاهی از علائم هشدار و اقدام سریع به درمان و مراجعه به بهترین دکتر ریه ایران، از بروز مشکلات جدی جلوگیری میکند.
دکترتو مراقب سلامتی شماست!
سلام بسیار راهنمایی خوب درک راحت و من که بیش از حد امکان استفاده کردم بسیار ممنونم .
جناب قربانی عزیز
ممنونم از همراهی و توجه تان
سلام من ریه ام عفونت داره وقتی مریض میشم زود قفسه سینه ام میگیرع سینه خلط با سرفه زیاد
سلام
برای درمان عفونت ریه و کاهش علائمی مانند سرفه و خلط، مهم است که ابتدا علت عفونت توسط پزشک تشخیص داده شود. اگر عفونت باکتریایی باشد، ممکن است داروهای آنتیبیوتیک مورد نیاز باشد. در عین حال، مصرف مایعات زیاد و استراحت کافی به بهبود وضعیت شما کمک میکند. استفاده از داروهای ضد سرفه و expectorants (داروهایی که به رقیق شدن خلط کمک میکنند) میتواند مفید باشد. همچنین اگر دچار تنگی نفس شدید، استفاده از داروهای تنفسی مانند برونکودیلاتورها ممکن است کمک کند. در هر صورت، توصیه میشود که در ابتدا به پزشک مراجعه کنید تا تشخیص دقیق و درمان مناسب برای شما آغاز شود.
بنده هم بسیار استفاده کردم
بهترینها را برایتان آرزومندم
ممنون از پاسخ شما
خواهش میکنم! خوشحالم که میتوانم کمک کنم. اگر سوال یا مشکلی دیگر دارید، حتماً بپرسید.
تندرست باشید پریسای عزیز
سلام
قفسه سینم خیلی درد دارم
لطفاً کمکم کنید متشکرم
سلام. درد قفسه سینه میتواند علتهای مختلفی داشته باشد؛ از مشکلات عضلانی یا فشار قفسه سینه تا مسائل قلبی یا ریوی. اگر درد شدید، تنگی نفس، تعریق، تهوع یا انتشار به بازو و فک دارید، فوراً به اورژانس یا متخصص قلب مراجعه کنید. احمد عزیز اگر درد خفیف و موضعی است و با حرکت یا لمس تشدید میشود، میتواند ناشی از عضله یا استخوان قفسه سینه باشد، اما باز هم برای اطمینان بهتر است به متخصص داخلی یا قلب مراجعه کنید.
متخصص قلب و عروق
ممنون از پاسخ شما
سلام وقت بخیر
من چند ماهه که سرفه زیاد میکنم
سی تی اسکن رفتم یکم ریه هام درگیر شده بعد چند وقت دو باره سی تی اسکن رفتم برطرف شده،الن دوباره خیلی سرفه میکنم در حد بالا آوردن،لطفا راهنمایی کنید.
سلام، وقت شما هم بخیر. سرفههای مداوم ممکن است ناشی از عفونتهای تنفسی، آلرژی، یا مشکلات ریوی مانند آسم یا بیماری مزمن انسدادی ریه (COPD) باشند. اگر سی تی اسکن نشاندهنده بهبودی بوده، اما هنوز سرفه شدید ادامه دارد، ممکن است علت دیگری مانند رفلاکس معده، آلرژی، یا التهاب باقیمانده در مجاری تنفسی باشد. پیشنهاد میشود که مجدداً به پزشک مراجعه کنید تا علت دقیق سرفه بررسی شده و درمان مناسب برای شما تجویز شود. همچنین ممکن است نیاز به آزمایشهای بیشتر یا درمانهای حمایتی مانند استنشاق داروهای ضد التهاب یا آنتیهیستامینها باشد.
متخصص داخلی
یه ماه هست که خس خس سینه دارم وترشه خلطی تقریبا سبز ۶عدد قرص ازیترو روزی یک عدد ویتامین سی ویی استفاده کردم بهتر شدم ولی هنوز سینم خس خس داره خلط شفاف آیا باید ازیترو را ادامه بدم یا خودش خوب میشه ممنون
سلام
اگر پس از مصرف آزیترومایسین و ویتامین C هنوز خسخس سینه دارید، ممکن است نیاز به بررسی بیشتر وضعیت شما باشد. اگرچه آزیترومایسین معمولاً برای عفونتهای باکتریایی تجویز میشود، ممکن است علائم شما ناشی از یک مشکل غیرعفونی مانند آسم یا التهاب مزمن باشد که نیاز به درمان متفاوتی دارد. ادامه مصرف آزیترومایسین بدون مشورت با پزشک ممکن است اثرات جانبی اضافی داشته باشد. بهتر است با پزشک خود مشورت کنید تا تشخیص دقیقتری برای وضعیت شما داشته باشد و در صورت نیاز درمانهای دیگری را آغاز کنید.
سلام.وقت بخیر
جهت مقابله با عفونت ریه از نوع ویروسی چه دارویی اثر گذار هست؟
سلام، برای مقابله با عفونتهای ویروسی ریه (مانند آنفولانزا یا ویروسهای مشابه) معمولاً آنتیبیوتیکها مؤثر نیستند، زیرا این داروها برای درمان عفونتهای باکتریایی طراحی شدهاند. در عوض، درمان عفونتهای ویروسی معمولاً بر مدیریت علائم متمرکز است. داروهای مسکن مانند استامینوفن یا ایبوپروفن میتوانند برای کاهش تب و درد مفید باشند همچنین، استراحت کافی، مصرف مایعات فراوان و رعایت مراقبتهای حمایتی مانند مرطوب نگهداشتن هوا و استفاده از اسپریهای بینی ممکن است به بهبود علائم کمک کند. سیستم ایمنی بدن در مقابله با عفونتهای ویروسی نقش حیاتی دارد، زیرا این سیستم توانایی تشخیص و از بین بردن ویروسها را دارد. تقویت سیستم ایمنی از طریق مصرف مکمل تقویت کننده ایمنی و خواب کافی، تغذیه سالم، ورزش منظم و کاهش استرس میتواند به بدن کمک کند تا بهتر با عفونتها مقابله کند.
سپاسگزارم
خواهش میکنم
تندرست باشید و شاد
سلام و ادب
من دو تا پسر دارم سه سالو نیمه و یک سالو نیمه .. از زمستان گذشته پسر بزرگم بعد از سرماخوردگی تنگی نفس گرفت و درگیر خس خس و خلط و این مباحث شد با کمترین باد یخی دوباره درگیری ها شروع میشه و با اسپری سالبوتامول بسیار آرومتر میشن و مصرف پلارژین با زمان بردن خوب میشه الان پسر کوچکترم هم به همون صورت نفسش میگیره و خس خس و این مباحث البته ۳ یا ۴ باره پسر بزرگم این طور شده و یکباره پسر کوچکترم .. خیلی نگران و بهم ریخته میشم… منو راهنمایی کنین سپاسگذارم
سلام و وقت بخیر، به نظر میرسد که فرزندانتان ممکن است به نوعی حساسیت یا بیماری تنفسی مانند آسم مبتلا باشند، که میتواند بعد از سرماخوردگیها یا در معرض سرما و باد سرد تشدید شود. مصرف اسپری سالبوتامول که در موارد اضطراری کمک میکند، نشاندهنده نیاز به درمانهای تخصصی برای کنترل علائم است. پیشنهاد میکنم هر دو فرزندتان را نزد پزشک متخصص اطفال ببرید تا تشخیص دقیقی دریافت کرده و درمانهای پیشگیرانه و کنترلکننده برای جلوگیری از حملات تنفسی بیشتر تجویز شود. این ممکن است شامل داروهای کنترلکننده آسم یا تغییرات محیطی برای کاهش عوامل محرک باشد.
متخصص اطفال
مطالب بسیار عالی بود ساده و روان و قابل فهم برا سواد کمتر از پزشکان محترم
جناب حافظی عزیز
خیلی خوشحالم که مطالب برای شما مفید و قابل فهم بود. اگر سوال یا نیازی داشتید، همیشه در خدمت شما هستم. سلامت و موفق باشید!
مطالب بسیار عالی بود ساده و روان و قابل فهم برا سواد کمتر از پزشکان محترم
برای غفونت ریه چند عدد قرص باید خورده شود…مثلا قرص ازیترومایسین
سلام
بستگی به میزان علایم و وزن تان دارد
و باید هر گونه انتی بیوتیکی با تجویز پزشک مصرف شود
متخصص عفونی
سلام سرفه وخلط سبز وارد که رگه صورتی داره ممکنه عفونت ریه باشه؟؟
سلام! سرفه با خلط سبز رنگ و رگههای صورتی ممکن است نشانهای از عفونت تنفسی، از جمله عفونت ریه یا برونشیت باشد. این وضعیت میتواند نشاندهنده وجود عفونت باکتریایی یا ویروسی باشد. اگر این علائم با تب، تنگی نفس یا درد قفسه سینه همراه باشد، توصیه میشود که به پزشک مراجعه کنید تا آزمایشهای لازم را انجام دهد و تشخیص دقیقتری بدهد.
متخصص ریه
سلام مسالمه ریم درد میکنه وقتی یک سرما خوردگی کوچک میگرم ریم بهم میریزه بعدم که خوب میشم درست نمیتوانم نفس عمیق بکشم چیکار کنم
سلام. این علائم شما میتواند نشاندهنده آسم یا برونشیت با زمینه آلرژیک باشد که با سرماخوردگی تشدید میشود. برای تشخیص دقیق و درمان مناسب، بهتر است به یک متخصص ریه (پولمونولوژیست) یا پزشک داخلی مراجعه کنید. پزشک ممکن است تست تنفس (اسپیرومتری) یا عکس قفسه سینه درخواست دهد و در صورت نیاز، داروهای استنشاقی برای کمک به باز شدن راههای هوایی شما تجویز کند.
فوق تخصص ریه
از مطالب این مقاله استفاده خوبی بردم با تشکر الانتشار مطالب