فهرست مطالب
تب، سرفههای عمیق، تنگی نفس و ضعف عمومی گاهی فقط نشانهی یک سرماخوردگی ساده نیستند. در بعضی موارد، پشت این علائم بیماری جدیتری به نام ذات الریه پنهان است؛ عفونتی که با التهاب بافت ریه و تجمع مایع در آلوئولها همراه میشود و اگر بهموقع درمان نشود، میتواند جان بیمار را به خطر بیندازد. در ادامه این مطلب از دکترتو با علل، علائم و روشهای درمان ذات الریه بیشتر آشنا میشوید.
بیماری ذات الریه یا پنومونی چیست؟
ذات الریه یا پنومونی، یکی از انواع بیماری ریه عفونت و التهاب کیسههای هوایی است که با تجمع ترشح و اختلال در تبادل اکسیژن همراه میشود. عامل بیماری میتواند ویروس، باکتری یا قارچ باشد و شدت آن از خفیف تا شدید متغیر است. نام دیگر ذاتالریه در منابع علمی همان پنومونی ریه است و وقتی درگیری در یک لوب مشخص باشد به آن پنومونی لوبار میگویند. بر اساس محل ابتلا نیز دو گروه اکتسابی از جامعه و اکتسابی از بیمارستان تعریف میشوند که هریک الگوی میکروبی و درمان متفاوتی دارند.
در بیشتر بیماران، پنومونی با تب، سرفه و تنگی نفس ظاهر میشود، اما در سالمندان یا افراد دچار بیماری زمینهای ممکن است با علائم غیرمعمول مثل گیجی یا ضعف بروز کند. شدت بیماری به سن، وضعیت ایمنی، بیماریهای همراه و نوع عامل وابسته است. تشخیص بهموقع و شروع درمان مناسب، احتمال بستری طولانی، آب آوردن ریه و سپسیس را بهطور معناداری کاهش میدهد و بازگشت به زندگی روزمره را سریعتر میکند. ذات الریه، عامل اصلی مرگ ناشی از عفونت در کودکان با سن کمتر از ۵ سال در سراسر جهان است.
ذات الریه واگیردار است؟
واگیردار بودن پنومونی به علت ایجاد آن بستگی دارد. ذات الریه ویروسی و بسیاری از ذاتالریههای باکتریایی از طریق قطرات تنفسی قابل انتقالاند و تماس نزدیک در محیطهای بسته ریسک را بالا میبرد. رعایت بهداشت دست، تهویهٔ مناسب، استفاده از ماسک هنگام بیماری و ایزولهکردن فرد مبتلا تا بهبود تب و سرفه در جلوگیری از انتقال آن موثر است. ذات الریه ناشی از آسپیرهکردن محتویات معده معمولاً مسری نیست، اما باید علت زمینهای مثل اختلال بلع اصلاح شود.
متن انگلیسی:
به نقل از my.clevelandclinic
If you have bacterial pneumonia, you’re no longer considered contagious when your fever is gone and you’ve been on antibiotics for at least two days. If you have viral pneumonia, you’re still considered contagious until you feel better and have been free of fever for several days.
ترجمه فارسی متن:
اگر ذاتالریه باکتریایی دارید، زمانی که تبتان برطرف شده و حداقل دو روز آنتیبیوتیک مصرف کردهاید، دیگر مسری محسوب نمیشوید. اگر ذاتالریه ویروسی دارید، تا زمانی که حالتان بهتر نشده و چند روز بدون تب نبودهاید، همچنان مسری هستید.
علائم پنومونی
در پنومونی، التهاب آلوئولها و برونشها باعث بروز نشانههایی میشود که از سرماخوردگی شدیدتر و طولانیتر است. شروع علائم ذات الریه میتواند ناگهانی یا تدریجی باشد و شدت علائم با نوع عامل و سن بیمار فرق دارد. در علائم ذاتالریه خاموش ممکن است تب واضح نباشد و بیمار با ضعف و بیحالی مراجعه کند، بهویژه در سالمندان. شناخت بهموقع الگوها باعث مراجعهٔ سریعتر و آغاز درمان مؤثر میشود. به صورت کلی علائم پنومونی ریه عبارت است از:
- سوزش بینی و گلو
- سرفه
- خلط گلو
- تب و لرز
- تعریق زیاد
- ازدستدادن اشتها
- کاهش انرژی و خستگی شدید
- تنفس سریع و پیدرپی
- افزایش سرعت نبض
- خس خس سینه
- پوست، لب یا نوک انگشتان آبی به نظر میرسند
- درد ناگهانی و خنجری در قفسهی سینه که با تنفس عمیق یا سرفه بدتر میشود
- تنگی نفس که با فعالیت بدتر میشود
- گیجی و سردرگمی به خصوص در افراد مسن
علائم ذات الریه خاموش
در برخی افراد بهویژه سالمندان، افراد دیابتی یا با نقص ایمنی، تب ممکن است خفیف یا غایب باشد و بهجای آن گیجی، خوابآلودگی، ضعف ناگهانی، افت فشار یا بدتر شدن بیماریهای همراه دیده شود. این حالت را ذاتالریه خاموش مینامند و میتواند دیر تشخیص داده شود. هر تغییر غیرمعمول در سطح هوشیاری، تعریق شبانه یا تندنفسی باید جدی گرفته شود.
علائم ذات الریه در بزرگسالان
تب و لرز، سرفه پیشرونده، درد پلوریتیک و کاهش تحمل فعالیت روزانه غالبا علائم پنومونی در بزرگسالان بوده و با خلط چرکی یا زرد همراهی است. علائم ذاتالریه در زنان از نظر ماهیت تفاوت بنیادی با مردان ندارد، اما همراهی کمخونی، کمکاری تیروئید یا اضطراب میتواند خستگی، تپش قلب و بیاشتهایی را پررنگتر کند و در ارزیابی شدت باید مد نظر باشد. علائم ذاتالریه در سالمندان اغلب متنوع است و ممکن است تب بالا وجود نداشته باشد و بیمار با گیجی، بیخوابی، بیاشتهایی و افت کارکرد روزانه مراجعه کند که خطر تأخیر در تشخیص را بالا میبرد. در بزرگسالان با سرفه ماندگار و تنگی نفس، بهویژه اگر بیماری زمینهای دارد، ارزیابی سریع، تصویربرداری و سنجش اشباع اکسیژن توصیه میشود تا درمان بهموقع آغاز گردد.

علائم پنومونی در کودکان
علائم ذاتالریه در کودکان و بزرگسالان معمولا به طور مشابه بروز میکند. یکی از اصلیترین علائمی که در افراد مبتلا به ذات الریه مشاهده میشود، سرفه است. کسانی که سرفههای طولانی و ادامهدار دارند، باید این مسئله را به خوبی پیگیری کنند و به دکتر مراجعه کنند. علائم ذات الریه در کودکان به شرح زیر است:
- سرفههایی که همراه با خلط هستند و ترشحات در آنها دیده میشود
- سرفههایی که همراه با درد است و کودک هنگام سرفه کردن بسیار آزرده میشود
- تهوع و استفراغ
- کاهش اشتها
- خستگی مفرط
- تب
انواع پنومونی
پنومونی را میتوان بر اساس محل ابتلا، عامل بیماریزا و الگوی درگیری بافتی دستهبندی کرد تا انتخاب درمان هدفمند و پیشبینی سیر بیماری دقیقتر شود. پنومونی اکتسابی از جامعه معمولاً با عوامل متفاوتی نسبت به پنومونی اکتسابی از بیمارستان رخ میدهد و مقاومت دارویی در آن کمتر است. از سوی دیگر، پنومونی آتیپیک غالباً با سرفه خشک و تب ملایمتر همراه است و در تصویر رادیولوژیک الگوی بینابینی و پخش دارد که با الگوی لوبار در پنومونی پنوموکوکی تفاوت دارد. پنومونی نکروزان فرم شدیدتری است که میتواند با کاویتاسیون و آبسه همراه باشد و معمولاً نیاز به درمان تهاجمی و طولانیتر دارد.
در انواع خاص، موقعیتهای بالینی باید بهدقت سنجیده شود، زیرا پنومونی آسپیراسیون با ورود محتویات دهان یا معده به ریه رخ میدهد. پنومونی لوبار بهصورت درگیری یک لوب مشخص با تراکم همگن ظاهر میشود و درد پلوریتیک بیشتری ایجاد میکند، در حالی که پنومونی بینابینی میتواند بدون درد قابلتوجه باشد اما تنگی نفس را تشدید کند. در ادامه، زیرگروههای مهم را با تمرکز بر نکات کاربردی مرور میکنیم.
- ذات الریه آسپیراسیون
- ذات الریه لوبار
- پنومونی نکروزان
- ذات الریه آتیپیک
- پنومونی مایکوپلاسما
- ذات الریه باکتریایی
- پنومونی وایرال
- ذات الریه قارچی
- پنومونی اکتسابی از بیمارستان (HAP)
پنومونی آسپیراسیون در دستگاه تنفسی
وقتی محتویات دهان یا معده به ریه راه یابد، ابتدا التهاب شیمیایی و سپس عفونت ریه ایجاد میشود که بهویژه در لوبهای تحتانی و قطعات خلفی دیده میشود. اختلال بلع، ریفلاکس شدید، سطح هوشیاری پایین، سکته، دمانس و مصرف داروهای خوابآور عوامل کلیدی خطر هستند و باید اصلاح شوند. درمان با استفاده از آنتیبیوتیک و مداخلات پیشگیرانه مانند بالا نگه داشتن سر تخت، تقسیم وعدهها به حجمهای کوچک و گفتاردرمانی برای آموزش بلع انجام میشود. این نوع از ذاتالریه ممکن است در افرادی که سکته کردهاند یا به سایر بیماریهای عصبی مبتلا هستند، رخ دهد.
پنومونی لوبار
ذاتالریه لوبار الگویی است که در آن یک لوب ریه بهصورت همگن متراکم میشود و تب بالا، لرز، درد پلوریتیک و گاهی هرپس لبیالیس همراه دارد. در رادیوگرافی تراکم لوبی با مرزهای نسبتاً مشخص دیده میشود و در معاینه کاهش صدا و کرکل ریز شنیده میشود. عامل شایع آن استرپتوکوک پنومونیه است، اما عوامل دیگر نیز میتوانند همین الگو را بسازند. درمان سریع پنومونی لوبار با آنتیبیوتیک مناسب، کنترل درد و اکسیژناسیون کافی از عوارضی مانند افیوژن پلور پیشگیری میکند. پیگیری تصویربرداری برای اطمینان از جذب ضایعه بهویژه در افراد سیگاری یا سالمندان توصیه میشود.
پنومونی نکروزان
پنومونی نکروزان فرم تهاجمی بیماری است که در آن بخشهایی از بافت ریه نکروزه میشوند و کاویتاسیون و آبسه شکل میگیرد و معمولاً با تب بالا، توکسیتی و خلط بدبو یا خونی همراه است. برای درمان این وضعیت آنتیبیوتیک تجویز میشود و نیاز است فرد در بیمارستان بررسی شود. تشخیص دقیق با سیتیاسکن کمک میکند وسعت درگیری و حضور حفرات را بسنجد و تصمیم درباره درناژ را هدایت کند. تأخیر در درمان خطر سپسیس و نارسایی تنفسی را بالا میبرد و دوره درمان اغلب طولانیتر از پنومونیهای معمولی است. برای بازگشت عملکرد ریع تغذیه کافی و توانبخشی لازم است.
پنومونی آتیپیک
به مجموعهای از عفونتهای ریوی که توسط مایکوپلاسما، کلامیدوفیلا و برخی ویروسها ایجاد میشوند و معمولاً علائم خفیفتر اما پایدارتری دارند، پنومونی آتیپیک گفته میشود. سرفه خشک مداوم، تب ملایم، سردرد، درد عضلات و گلودرد از علائم شایع آن است. در موارد باکتریایی درمان بر پایه ماکرولیدها و در ویروسیها حمایتی است و تکمیل دوره دارو برای جلوگیری از عود ضروری است.
پنومونی مایکوپلاسما
مایکوپلاسما پنومونیه علت شایع پنومونی آتیپیک در نوجوانان و جوانان است و به پنومونی پیادهروی معروف است، چون با وجود بیماری، بیمار اغلب قادر به فعالیتهای روزمره است. سرفه خشک ماندگار، تب خفیف، گلودرد، سردرد و گاهی راش پوستی یا درد مفاصل از علائم همراه است و در معاینه ممکن است تشخیص داده نشود. این وضعیت معمولاً با ماکرولیدها و درمان میشود، اما سرفه میتواند چند هفته باقی بماند. رعایت استراحت، مایعات کافی و پایبندی به نسخه برای کوتاه شدن دوره بیماری اهمیت دارد. در صورت بدتر شدن تنگی نفس یا بروز تب بالا باید ارزیابی مجدد صورت گیرد.
پنومونی باکتریایی
ذاتالریه باکتریایی غالباً شدیدتر است و با تب بالا، لرز، خلط چرکی، درد پلوریتیک و علائم توکسیک همراهی دارد و در معاینه رال و کاهش صدا شنیده میشود. پنومونی باکتریایی با تجویز آنتیبیوتیک قابل درمان است. پس از برطرفشدن تب یا یک تا دو روز بعد از شروع آنتیبیوتیک، پنومونی دیگر مسری نیست. انواعی از ذاتالریه باکتریایی که ممکن است مسری باشند، عبارتند از:
- ذاتالریه استرپتوکوکی پنومونیه (شایعترین عامل ذت الریه)
- ذاتالریه استافیلوکوکوس اورئوسی مقاوم به متی سیلین (MRSA)
- ذاتالریه کلامیدیایی
ذات الریه ویروسی
پنومونی وایرال در فصلهای سرد شایعتر است و میتواند از سرماخوردگی شدیدتر باشد و در گروههای پرخطر عوارض جدی ایجاد کند. درمان ذاتالریهی ویروسی شامل استراحت، مایعات گرم، تببرهای مجاز و کنترل سرفه میشود و در برخی ویروسها مانند آنفلوانزا داروی ضد ویروس با تجویز پزشک کمککننده است. با واکسن آنفلوانزا و رعایت بهداشت تنفسی میتوان از این بیماری پیشگیری کرد و مرگومیر را کاهش داد. در صورت تنگی نفس شدید، کبودی لبها یا اکسیژن پایین، باید فورا به دکتر مراجعه کرد.
ذاتالریهی ویروسی میتواند مسری باشد. ویروس آنفولانزا، ویروس سن سیشیال تنفسی (RSV)، رینو ویروسها (عامل سرماخوردگی) نیز میتوانند علت پنومونی باشند. پنومونی ویروسی تا زمانی که احساس بهبودی نکنید و چند روز پس از پایان تب، مسری است.

ذات الریه قارچی
ذاتالریهی قارچی به طور معمول در افراد دارای ضعف سیستم ایمنی یا مبتلایان به بیماریهای مزمن، رخ میدهد. قارچهایی که باعث این نوع پنومونی میشوند معمولاً در خاک یافتمیشوند که عبارتند از: پنوموسیستیس جیرووسی، گونههای کریپتوکوک و گونههای هیستوپلاسموز. به طور کلی ذاتالریه قارچی مسری نیست. زیرا علت پنومونی قارچی استنشاق قارچهای محیطی است و از فردی به فرد دیگر سرایت نمیکند.
پنومونی اکتسابی از بیمارستان (HAP)
ذاتالریهای که ۴۸ ساعت پس از بستری در بیمارستان ایجاد میشود را HAP مینامیم. پنومونی وابسته به ونتیلاتور (VAP) نوعی پنومونی اکتسابی از بیمارستان است که ۴۸ تا ۷۲ ساعت پس از لولهگذاری در نای (ETT) اتفاقمیافتد. بنابراین شایعترین شکل عفونت در بخش مراقبتهای ویژه (ICU) است. شایعترین میکروارگانیسمهای شناختهشده به عنوان عامل VAP، سودوموناس آئروژینوزا، استافیلوکوکوس اورئوس و انتروباکتریاسه هستند.
علت ذات الریه
دلیل پنومونی ورود و تکثیر عوامل عفونی در آلوئولهاست که سدهای دفاعی راه هوایی را دور میزنند و پاسخ التهابی ایجاد میکنند. عوامل خطر شامل سن بسیار کم یا زیاد، سیگار و دود دستدوم، آلودگی هوا، بیماریهای مزمن قلب و ریه، دیابت، سوءتغذیه، نقص ایمنی، بستری طولانی، ونتیلاسیون و اختلال بلع است که احتمال ابتلا و شدت را افزایش میدهد. با واکسیناسیون، ترک سیگار، تهویه مناسب محیطهای بسته و اصلاح سبک زندگی میتوان از این بیماری پیشگیری کرد. مهمترین دلایل پنومونی عبارت است از:
- ویروسها مانند آنفلوانزا و ویروس سنسیشیال تنفسی
- باکتریها مانند پنوموکوک، هموفیلوس و استافیلوکوک
- قارچها در بیماران دچار نقص ایمنی یا مصرف کورتون
- آسپیریشن ناشی از اختلال بلع، ریفلاکس و هوشیاری پایین
- سیگار، دود دستدوم و آلودگی هوا در شهرهای شلوغ
- بیماریهای مزمن، سوءتغذیه و ضعف سیستم ایمنی
- بستری طولانی، ونتیلاسیون و تماسهای نزدیک در فضاهای بسته
متن انگلیسی:
به نقل از CDC
People who have chronic (ongoing) medical conditions are at increased risk for pneumonia. These can include: Chronic heart disease, Chronic liver disease, Chronic lung disease, Diabetes. People with a weakened immune system are at greatest risk for pneumonia. Many different conditions and medicines can weaken the immune system.
ترجمه فارسی متن:
افرادی که بیماریهای مزمن (مداوم) دارند، در معرض خطر بیشتری برای ابتلا به ذاتالریه هستند. این بیماریها میتوانند شامل موارد زیر باشند: بیماری مزمن قلبی، بیماری مزمن کبدی، بیماری مزمن ریوی، دیابت. افرادی که سیستم ایمنی ضعیفی دارند، در بیشترین خطر ابتلا به ذاتالریه قرار دارند. بسیاری از بیماریها و داروهای مختلف میتوانند سیستم ایمنی را ضعیف کنند.
راه های تشخیص بیماری پنومونی
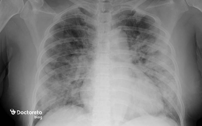
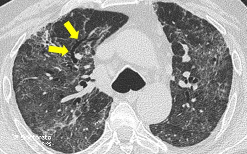
پزشک به الگوی تب، نوع سرفه، درد قفسه سینه و علائم حیاتی توجه میکند و در سمع به دنبال رال، کاهش صدا و علائم درگیری پلور میگردد و سپس رادیوگرافی قفسه سینه را برای تأیید ارتشاح و تعیین وسعت درخواست میکند. در موارد پیچیده یا عدم پاسخ به درمان اولیه، سیتیاسکن قفسه سینه به تعیین پاترن درگیری، وجود آبسه یا آمپیم کمک میکند. آزمایش خون برای سنجش شمارش سلولها و نشانگرهای التهاب و در موارد منتخب کشت خلط برای هدفمند کردن آنتیبیوتیک انجام میشود. سنجش اشباع اکسیژن و در موارد شدید گاز خون شریانی، شدت هیپوکسمی را مشخص میکند. آزمایشهای زیر نیز به تایید تشخیص پنومونی کمکمیکنند:
- عکس اشعه ایکس از قفسه سینه (chest X-ray)
- آزمایش خون
- آزمایش گازهای خون شریانی (ABG)
- کشت خلط
- پالس اکسی متر
- سی تی اسکن قفسه سینه (chest CT-Scan)
- برونکوسکوپی
- کشت مایع پلور
درمان قطعی ذات الریه
معمولا درمان ذات الریه بر سه اصل استوار است که شامل کنترل عامل عفونی، حمایت از تنفس و اصلاح عوامل خطر میشود و پیروی دقیق از این اصلباعث اثربخشی نتیجه درمان میشود. در پنومونی باکتریایی، آنتیبیوتیک هدفمند مطابق راهنما و با توجه به مقاومت منطقهای آغاز میشود و تکمیل دوره دارو برای ریشهکن کردن عامل ضروری است، در حالی که در پنومونی ویروسی درمان عمدتاً حمایتی است و در موارد خاص مانند آنفلوانزا داروی ضد ویروس اضافه میشود. در موارد شدید یا همراه با عوارض، بستری، آنتیبیوتیک وریدی، مایعات، کنترل درد و تب و پایش مداوم علائم حیاتی ضروری است و برنامه ترخیص باید شامل آموزش علائم هشدار و زمان پیگیری باشد.
درمان قطعی پنومونی آسپیراسیون پیشگیری از آسپیریشن با بالا نگه داشتن سر تخت، تقسیم وعدههای غذایی، ارزیابی و توانبخشی بلع و کاهش داروهای خوابآور نیز است. آموزش بیمار درباره مصرف صحیح دارو، تداخلات احتمالی و مدیریت عوارض شایع مانند اسهال یا بثورات پوستی، بخش جداییناپذیر درمان موفق است. در پایان دوره درمان، بازبینی عوامل خطر و برنامهریزی برای واکسیناسیون و ترک سیگار، سرمایهگذاری مؤثری برای کاهش اپیزودهای بعدی خواهد بود. در ادامه گزینههای درمان پنومونی را شرح میدهیم.
| شدت پنومونی | درمان اصلی پنومونی | پایش |
|---|---|---|
| خفیف (CAP ویروسی یا باکتریایی خفیف) | استراحت، مایعات گرم، کنترل تب؛ آنتیبیوتیک در موارد باکتریایی | سنجش علائم حیاتی و اشباع اکسیژن در منزل در صورت امکان |
| متوسط | آنتیبیوتیک خوراکی هدفمند؛ خلطآور، بخور، | پایش اشباع؛ در افت اشباع، اکسیژنتراپی |
| شدید یا با عارضه (آبسه، آمپیم، نکروزان) | بستری، آنتیبیوتیک وریدی؛ درن قفسه سینه در آمپیم/نیاز به مداخله | مانیتورینگ مداوم علائم حیاتی؛ اکسیژن یا تهویه مکانیکی در صورت نیاز |
| HAP/VAP یا نقص ایمنی | آنتیبیوتیک بر اساس مقاومت بیمارستانی/ضدقارچ در موارد لازم | پایش ICU، تنظیمات ونتیلاتور، پیشگیری از آسپیریشن |
| پنومونی آسپیراسیون | اصلاح عوامل خطر (بالا نگه داشتن سر، ارزیابی بلع، تقسیم وعدهها) | پایش اشباع و علائم تنفسی |
طول مدت درمان ذات الریه
مدت زمان درمان پنومونی به علت، شدت بیماری و پاسخ بالینی بستگی دارد و معیار پایان درمان، بهبود پایدار است. در پنومونی اکتسابی از جامعه خفیف تا متوسط، دوره آنتیبیوتیک معمولاً پنج تا هفت روز است و با قطع تب، بهبود تنگی نفس و بازگشت اشتها همراه میشود، اما در موارد شدید، نکروزان یا همراه با عوارض، دوره میتواند دو تا چهار هفته باشد و نیاز به پیگیری تصویربرداری دارد.
در سالمندان، بیماران با نقص ایمنی و کودکان ممکن است دوره طولانیتر و مراقبت دقیقتری لازم باشد تا از عود و مقاومت دارویی پیشگیری شود. زمان بازگشت به کار بستگی به بهبود بالینی و نوع کار دارد و باید با پزشک هماهنگ شود تا از خستگی مفرط و عود علائم جلوگیری گردد. به طور کلی، پایبندی به نسخه و ویزیت پیگیر بهترین راه برای کوتاه نگه داشتن دوره بیماری و کاهش عوارض است.
بهترین دارو برای پنومونی
انتخاب داروی ذات الریه باید شخصیسازی شود زیرا به سن، آلرژیها، بیماریهای همراه، الگوی مقاومت منطقهای و شدت بیماری بستگی دارد. در بزرگسالان سالم با CAP خفیف، رژیمهای خط اول طبق راهنما تجویز میشوند و در حضور بیماریهای همراه یا ریسک مقاومت، پوشش گستردهتری لازم است و سپس با نتایج کشت اصلاح میشود.
درمان دارویی پنومونی در کودکان بر اساس سن و وزن طراحی میشود و خانواده باید زمانبندی دقیق دوزها، تکمیل دوره و مراقبت از عوارض را جدی بگیرند تا از مقاومت دارویی پیشگیری شود. در پنومونی وایرال، داروهای ضد ویروس تنها در برخی عوامل مانند آنفلوانزا کاربرد دارند و مصرف خودسرانه آنتیبیوتیک میتواند مضر باشد. آموزش بیمار و والدین درباره هدف هر دارو و علائم هشدار، بخشی از درمان مؤثر است.
آنتی بیوتیک برای ذات الریه
بیشتر ذاتالریههایی که در جامعه به آنها دچار میشوید و به علت بودن در جمعیت ایجاد میشوند، استرپتوکوک نومونیا هستند. آنتیبیوتیکهای مختلفی برای درمان این بیماریها موثر هستند. یکی از انواع داروهایی که در درمان ذات الریه مورد استفاده قرار میگیرد، آزیترومایسین است. اگر بیمار به داکسی سایکلین و یا آموکسی سیلین حساسیت نشان دهد میتوان از سفالوسپورین برای آنها همراه با آزیترومایسین استفاده کرد. تتراسایکلین از دستهی داروهایی مانند داکسیسایکلین است. از این دارو نیز برای درمان بیماری ذات الریه استفاده میشود.

درمان خانگی ذات الریه چیست؟
درمان خانگی پنومونی نقش حمایتی دارد و جایگزین نسخه پزشک نیست، اما اجرای درست آن میتواند علائم را سبکتر و بهبود را سریعتر کند. استراحت کافی، نوشیدن مایعات گرم، مرطوب نگه داشتن هوا، بالا نگه داشتن سر هنگام خواب و تغذیه سبک و پرکالری به رقیق شدن خلط و کاهش سرفه کمک میکند و تحمل فعالیت را بالا میبرد. پرهیز از دود سیگار، قلیان و بوهای محرک و تهویه مناسب اتاق نیز اهمیت دارد و در کودکان باید تب و تنفس بهطور منظم پایش شود. اگر علائم ظرف چهل و هشت تا هفتاد و دو ساعت بهتر نشد یا بدتر شد، مراجعه و ارزیابی مجدد ضروری است. برخی از روشهای درمان خانگی ذات الریه برای کاهش علائم به شرح زیر است:
- مایعات و سوپ زیاد بخورید
- از داروهای ضد سرفه خانگی استفاده کنید
- از کمپرس گرم برای درد خود استفاده کنید
- از بخور کمک بگیرید
- به خوبی استراحت کنید
درمان پنومونی آسپیراسیون
در پنومونی آسپیراسیون، علاوه بر آنتیبیوتیک، درمان علت زمینهای مهمترین مداخله برای پیشگیری از عود است و باید در برنامه درمانی ثبت شود. ارزیابی بلع و گفتاردرمانی، بالا نگه داشتن سر تخت در طول و پس از غذا، تقسیم وعدهها به حجمهای کوچک و پرهیز از مایعات مشکلزا برای بلع، از اقدامات کلیدی به شمار میآیند. تعدیل یا بازنگری داروهای خوابآور و آرامبخش، درمان ریفلاکس و مراقبت دهانی دقیق نیز ریسک آسپیریشن را کم میکند.

عوارض پنومونی ریه چیست؟
بیشتر مبتلایان به ذات الریه پنومونی به خوبی به درمان پاسخ میدهند اما پنومونی میتواند بسیار جدی و حتی کشنده باشد. افراد مسن، کودکان و خردسالان، سیستم ایمنی ضعیف یا بیماری جدی مانند دیابت یا سیروز، احتمال ایجاد عوارض را افزایش میدهد. عوارض ذاتالریه شامل موارد زیر است:
- سندرم زجر تنفسی حاد (ARDS)
- نارسایی تنفسی و نیاز به اکسیژن یا تهویه مکانیکی
- افیوژن پلور، آمپیم و ضرورت درناژ قفسه سینه
- آبسه ریوی، کاویتاسیون و احتمال جراحی
- سپسیس، افت فشار و اختلال عملکرد ارگانها
- تشدید آسم و COPD و بدتر شدن نارسایی قلب در افراد مستعد
آیا ذات الریه خطرناک است؟
ذات الریه میتواند خطرناک باشد، بهویژه در سالمندان، نوزادان، بارداران و مبتلایان به بیماریهای مزمن که ذخیره تنفسی و توان ایمنی پایینتری دارند و سریعتر دچار هیپوکسمی یا سپسیس میشوند. حتی در افراد سالم نیز عامل تهاجمی، مصرف دیرهنگام آنتیبیوتیک یا تأخیر در مراجعه میتواند پیامدهای جدی ایجاد کند و به بستری در مراقبت ویژه بینجامد. خوشبختانه با تشخیص بهموقع، درمان استاندارد و مراقبت حمایتی مناسب، بیشتر بیماران طی چند روز روند بهبود را آغاز میکنند و ظرف چند هفته به عملکرد معمول بازمیگردند.
آیا ذات الریه باعث مرگ میشود؟
در موارد شدید و در صورت درمان نشدن پنومونی ذات الریه میتواند منجر به نارسایی تنفسی، سپسیس و مرگ شود، اما اجرای بهموقع درمان و استانداردهای مراقبتی این خطر را بهطور معناداری کاهش میدهد. واکسیناسیون، ترک سیگار و کنترل بیماریهای مزمن ستونهای کاهش مرگومیر هستند و نقش خانواده در پایش علائم و حمایت تغذیهای بسیار زیاد است. هر نشانه وخامت مانند افت اشباع، گیجی یا کاهش فشار باید فوراً ارزیابی شود تا پنجره طلایی درمان از دست نرود. آموزش بیمار درباره سیر طبیعی و نقاط تصمیم، اضطراب را کم و همکاری را بیشتر میکند.
چگونه می توان از شیوع ذات الریه جلوگیری کرد؟
چندین راه وجود دارد که میتواند به کاهش قرارگرفتن در معرض باکتریها یا ویروسهایی که باعث ایجاد پنومونی میشوند کمک کند. با رعایت موارد زیر میتوان از ابتلا به ذات الریه جلوگیری کرد:
- شستشوی دستها
- تزریق واکسن
- ترک سیگار
- حفظ سلامتی بدن با ورزش
- پیروی از دستورات پزشک
- محدود کردن، تماس با افرادی که مریض هستند
- استراحت در منزل در فاز حاد و پرهیز از حضور در جمع و محیطهای بسته
- تهویه مناسب کلاسها و محل کار و مترو و بازگذاشتن پنجرهها در فواصل
با واکسن ذات الریه می توان از ابتلا جلوگیری کرد؟
واکسنها راهی مهم و موثر برای جلوگیری از عفونتهای ویروسی و باکتریایی در کودکان و بزرگسالان هستند. توصیهمیشود کودکان زیر ۵ سال و بزرگسالان ۵۰ سال و بالاتر، واکسن آنفولانزا و واکسن پنوموکوک (PCV20/PCV21 (یک دوز) یا PCV15 سپس PPSV23 مطابق راهنمای CDC) را تزریق کنند. واکسن پنوموواکس ۲۳، در برابر ۲۳ نوع باکتری پنوموکوک و واکسن Prevnar 13 در برابر ۱۳ نوع باکتری پنوموکوکی مؤثر است. انواع مختلف واکسن پنومونی هیچ ارگانیسم زندهای در خود ندارند و از نوع واکسنهای غیرفعال شده یا کشتهشده هستند.
عوارض واکسن ذات الریه
با وجود اینکه واکسن پنوموکوک از واکسنهای ایمن و مطمئن است، اما ممکن است که عوارضی را به دنبال داشتهباشد و باعث بروز علائمی شود. برخی از عوارض واکسن پنوموکوک شامل موارد زیر هستند:
- کاهش اشتها
- تب
- تحریکپذیر شدن
- قرمزی و خارش و سوزش پوستی در محل تزریق واکسن
- احساس خستگی و خواب آلودگی
نتیجه گیری
پنومونی یا ذات الریه با وجود اینکه بیماری جدیای است، در بیشتر موارد با تشخیص زودهنگام و درمان درست بهخوبی کنترل میشود. بسته به شدت عفونت، درمان میتواند شامل آنتیبیوتیک، مراقبتهای حمایتی یا در موارد شدید، بستری در بیمارستان باشد. ترک سیگار، تهویه مناسب، تغذیه متعادل و واکسیناسیون علیه پنوموکوک و آنفلوانزا از مهمترین راههای پیشگیری هستند. اگر تب، سرفه یا تنگی نفس بعد از چند روز بهتر نشد یا بدتر شد، مراجعه به بهترین دکتر ریه ایران کمک میکند درمان بهموقع انجام شود و از عوارض بعدی جلوگیری گردد.
دکترتو مراقب سلامتی شماست!
سلام
پدرم۶۵سال سن دارن سیستم ایمنی بدنش ضعیفه دچار ذاته ریه شده چ مدت زمان میبره حالش خوب بشه
سلام، زمان بهبودی از ذات الریه به شدت بیماری، وضعیت سلامتی کلی و سیستم ایمنی فرد بستگی دارد. در افراد مسن و با سیستم ایمنی ضعیف، روند بهبود ممکن است طولانیتر باشد و نیاز به مراقبتهای خاص و درمانهای مناسب دارد. به طور معمول، درمان آنتیبیوتیکی و مراقبتهای حمایتی میتواند به بهبودی کمک کند، اما مهم است که پزشک روند درمان را تحت نظر داشته باشد تا از عوارض جلوگیری شود. بهبودی کامل ممکن است چند هفته طول بکشد، اما در شرایط خاص ممکن است زمان بیشتری نیاز باشد.
کسی ک ۶۵سال سن داره بدنش سیستم ایمنی بدنش ضعیفه چ مدت زمان میبره حالش خوب بشه
سلام داماد من دیشب تا حال توی بیمارستان قلب بستریه سکته قلبی بار سومه سی وشش سال سن داره تب ولرز وسرفه ونفس تنگی مداوم بی اشتها مشکوک به ذاتریه قراربود فردا انجوگرافی هم بشه لطفا بگید امکان خطر جدی داره با توجه به ناراحتی قلبی درمانش سخته وتا کی این وضعیت ادامه داره خوب میشه نگرانم ممنون میشم پاسخم رو بدید
سلام، با توجه به اینکه داماد شما سکته قلبی را برای سومین بار تجربه کرده و علائم دیگری مثل تب، سرفه، و نفس تنگی دارد، وضعیت او نیازمند مراقبتهای ویژه است. احتمالاً ذاتالریه میتواند یکی از علائم همراه باشد که باید تحت درمان قرار گیرد. درمانهای سکته قلبی و ذاتالریه معمولاً پیچیده هستند و نیاز به زمان و نظارت دقیق دارند. انجام آنژیوگرافی میتواند به تشخیص دقیقتر کمک کند. اگر وضعیت او به دقت تحت نظر پزشک باشد، با درمان مناسب امکان بهبودی وجود دارد، اما این روند ممکن است چند روز تا چند هفته طول بکشد. توصیه میشود برای اطلاع دقیقتر، به تیم پزشکی و متخصص قلب اعتماد کرده و نگرانیهایتان را با آنها در میان بگذارید.
سپاسگزارم از اطلاعات جامع ودقیق بنده ۳۳ سالمه که هرسال چندین بار سرفه شدید خلط دار ویاهمون سینه پهلو میشم واقعا طاقتم رو بریده فقط یه سوال دارم آیا ذاتالریه درمان قطعی دارد؟..
سلام
لزوما این علایم به معنای ابتلا به پنومونی نیست
از نظر برونشیت و الرژی مزمن هم باید چک شوید
بطور کلی اسکن از قفسه سینه پیشنهاد می شود
متخصص داخلی
سلام
در صورت ابتلا به پنومونی یا ذاتالریه شدید، به طوری که نیاز به بستری باشه، طچل دوره ی درمان معمولا چند روزه است؟
سلام
بستگی به میزان و شدت
و همچنین درصد درگیری ریه دارد
و بوسیله متخصص عفونی در بیمارستان تعیین می گردد
من بک بسته سیپروفلوکساسین برای ذات الریه مصرف کردم سرفه ام قطع شد ده روز دارو مصرف کردم سیپرو500 الان سرفه ام دوباره شروع شده دوباره سیپرو شروع کنم؟ ضمنا تحت نظر دکتر ریه برای اسم و انسداد ریوی هستم 68 سالم هست
سلام
با توجه به علایم شاید اصلا عفونت ریه نداشته باشید و نیازی نباشد
بهتر است زیر نظر متخصص
از درمان اصولی استفاده کنید
متخصص ریه
ممنون از توضیحات کاملتون. شفای همه بیماران
سپاس از شما
تندرست باشید
ممنون از توضیحات کاملتون. شفای همه بیماران
سپاس از شما
تندرست باشید
تشکر انشا الله سالم و تندرست باشی
با ارزوی سلامتی برای شما
سالم باشید
سلام خیلی عالی وکامل بود ممنونم ازتون
سپاس از همراهی تان