فهرست مطالب
- چرا برخی بیماران مبتلا به تومور مغزی به طور غیرمنتظره بهبود می یابند؟
- نقش سیستم ایمنی و ژنتیک در معجزه تومور مغزی
- تأثیر روش های نوین درمانی در معجزه تومور مغزی
- نمونه های واقعی از معجزه بهبود بیماران تومور مغزی
- نگاهی علمی به موارد بهبود غیرمنتظره تومور مغزی در دنیا
- نقش امید، سبک زندگی و پیگیری درمان
- برای درمان تومورهای مغزی به کدام دکتر مراجعه کنیم؟
- نتیجه گیری
در پزشکی، معجزه تومور مغزی معمولاً به مواردی گفته میشود که روند بهبودی بیماران برخلاف پیشبینی علمی اتفاق میافتد. در مورد تومورهای مغزی، گاهی بیمارانی وجود دارند که با وجود نوع بدخیم بیماری، بهبود قابلتوجهی پیدا میکنند. پزشکان این موارد را اغلب به واکنش خاص سیستم ایمنی بدن یا پاسخ منحصر بهفرد به درمان نسبت میدهند. در این مقاله از دکترتو به طور خلاصه به این موارد خواهیم پرداخت. با ما همراه باشید.
چرا برخی بیماران مبتلا به تومور مغزی به طور غیرمنتظره بهبود می یابند؟
برخی بیماران تومور مغزی توانایی خوبی در پاسخ ایمنی علیه سلولهای سرطانی دارند. این پاسخ ممکن است رشد تومور را کاهش دهد یا حتی باعث توقف آن شود. دانشمندان معتقدند که عوامل ژنتیکی و تفاوت در نوع جهشهای تومور نقش مهمی در این موضوع دارند.
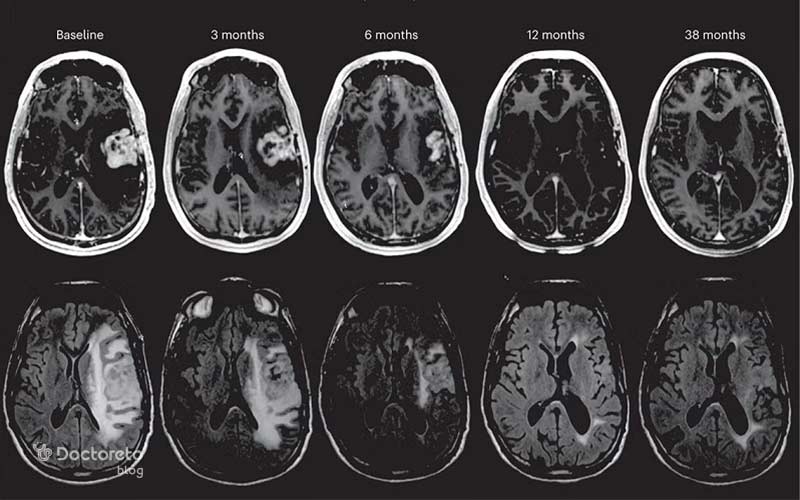
درصد بسیار نادری از بیماران بدون انتظار قبلی، کاهش چشمگیر یا حتی توقف کامل تومور را تجربه میکنند. این پدیده که در اصطلاح پزشکی «پسرفت خودبهخودی» نامیده میشود اغلب به دلیل فعال شدن ناگهانی سیستم ایمنی رخ میدهد. مطالعهای در Journal of Neuro-Oncology (۲۰۲۰) نشان داد که تعداد بسیار کمی از این بیماران پس از یک عفونت ویروسی یا تب بالا، کاهش قابل توجه تومور داشتند؛ زیرا سلولهای ایمنی T بهطور مؤثر سلولهای سرطانی را هدف قرار میدهند.
نقش سیستم ایمنی و ژنتیک در معجزه تومور مغزی
سیستم ایمنی بدن در برخی افراد به شکل مؤثری سلولهای تومور را شناسایی و نابود میکند. تحقیقات جدید نشان دادهاند که تغییرات ژنتیکی در مسیرهای سیگنالدهی میتواند باعث تقویت این واکنش شود. بر اساس پژوهش منتشرشده در Cancer Immunology Research (۲۰۲۲)، بیمارانی با این جهش، شانس بقای بیشتری داشتند؛ زیرا مسیرهای سیگنالدهی تومور مختل شده و سیستم ایمنی بهتر عمل میکند.
تأثیر روش های نوین درمانی در معجزه تومور مغزی
ایمونوتراپی (درمان تقویت سیستم ایمنی بدن) در سالهای اخیر به عنوان یکی از روشهای درمان تومور مغزی مطرح شده است. در کنار آن، پیشرفت در جراحیهای دقیق مبتنی بر نقشهبرداری مغزی نیز به افزایش احتمال موفقیت در حذف کامل تومور کمک کرده است.
نمونه های واقعی از معجزه بهبود بیماران تومور مغزی
در ایران نیز نمونههایی از بهبود چشمگیر بیماران دیده شده است. خانمی ۴۵ ساله از شیراز که با تومور گلیوبلاستوما تشخیص داده شده بود، پس از جراحی و درمان ترکیبی شیمیدرمانی و پرتودرمانی، با پیگیری مداوم و تغییر سبک زندگی، سه سال بدون عود بیماری زندگی کرده است. پزشک معالج او در گفتوگو با ایسنا گفته بود:
«واکنش بدن این بیمار به درمان بهطور غیرمنتظرهای خوب بود و همکاری دقیق او در روند درمان، نقش تعیینکننده داشت.»
همچنین، بیمار جوانی در تهران با تومور گلیوما پس از درمان هدفمند و شرکت در جلسات توانبخشی شناختی، توانست فعالیت شغلی خود را از سر بگیرد.

نگاهی علمی به موارد بهبود غیرمنتظره تومور مغزی در دنیا
در جهان، چندین مطالعه علمی به بررسی موارد نادر «پسرفت خودبهخودی» تومورهای مغزی پرداختهاند. این پدیده در حدود ۱ درصد بیماران مشاهده میشود و اغلب در بیمارانی رخ داده که سیستم ایمنی آنها پس از عفونت یا واکسیناسیون خاصی فعال شده است.
متن انگلیسی:
به نقل از سایت Psycho-Oncology
Patients with higher psychological resilience show improved treatment adherence and longer survival
ترجمه فارسی:
بیمارانی که تابآوری روانی بالاتری دارند، درمان را بهتر دنبال میکنند و ممکن است طول عمر بیشتری داشته باشند.
نقش امید، سبک زندگی و پیگیری درمان
امید و پشتیبانی خانوادگی اگرچه جایگزین درمان پزشکی نیستند، اما در بهبود روحیه و پیگیری درمان نقش مهمی دارند. بسیاری از بیماران ایرانی که روند درمان موفقی داشتهاند، به نظم در مصرف دارو، تغذیه سالم، و مدیریت استرس اشاره کردهاند.
برای درمان تومورهای مغزی به کدام دکتر مراجعه کنیم؟
برای اطلاع بیشتر درباره تومورهای مغزی می توانید از بهترین دکترهای مغز و اعصاب ایران نوبت بگیرید.
در ادامه لیستی از برجسته ترین پزشکان مغز و اعصاب در برخی شهرهای مختلف ایران را مشاهده میکنید
نتیجه گیری
اگرچه بهبود ناگهانی بیماران برای عموم مردم «معجزه تومور مغزی» تلقی میشود، اما علم پزشکی آن را نتیجه تعامل پیچیده میان ژنتیک، سیستم ایمنی و درمان مؤثر میداند. درک این پدیدهها نهتنها امید بیماران را افزایش میدهد بلکه میتواند به توسعه درمانهای آینده کمک کند.
دکترتو مراقب سلامتی شماست!



خواهرم تومور مغزی دارد به علت بی بضاعتی نمی توانیم کاری براش بکنیم خود کارهایش را انجام می دهم زیرا تنه است وپیش من زندگی می کند من ناتوان از این مسله شده ام چکنم یا رب
سلام، شرایطی که بیان کردید واقعاً دشوار و قابل درک است. در چنین موقعیتی بهتر است ابتدا از نهادهای حمایتی مانند بهزیستی، کمیته امداد امام خمینی(ره) یا خیریههای فعال در حوزه درمان کمک بگیرید، زیرا بسیاری از این مراکز هزینههای دارو و درمان بیماران خاص را تا حدی تأمین میکنند. همچنین پیشنهاد میشود با مددکار اجتماعی بیمارستان محل درمان خواهرتان مشورت کنید تا راهکارهای حمایتی و خدمات رایگان در دسترس را معرفی کند. در کنار مراقبت از خواهرتان، حتماً به سلامت و آرامش خود نیز توجه داشته باشید، زیرا توان جسمی و روحی شما نقش مهمی در ادامه این مسیر دارد.