فهرست مطالب
خلاصه این مطلب را در این پادکست گوش دهید:
دیسپلازی دهانه رحم (Cervical Dysplasia) یکی از چالشبرانگیزترین واژههایی است که ممکن است در گزارش پاپاسمیر خود با آن مواجه شوید. این وضعیت که معمولا ناشی از فعالیت ویروس HPV است، به معنای تغییرات غیرطبیعی در سلولهای دهانه رحم است؛ تغییراتی که اگرچه هنوز سرطان نیستند اما میتوانند پیشدرآمدی برای آن باشند. شناخت بهموقع تغییرات سلولی دهانه رحم، قدم مهمی در پیشگیری از سرطان دهانه رحم است. در این مقاله از دکترتو، ما به زبانی ساده اما علمی، از علت ایجاد، درجات مختلف ناهنجاری و راههای درمان دیسپلازی صحبت خواهیم کرد.
دیسپلازی دهانه رحم چیست؟
دیسپلازی دهانه رحم وضعیتی پیشسرطانی است که در آن سلولهای دهانه رحم دچار تغییرات غیرطبیعی میشوند اما هنوز به سرطان تبدیل نشدهاند. این تغییرات سلولی دهانه رحم، معمولاً بر اثر عفونت طولانیمدت با ویروس پاپیلومای انسانی (HPV) بهویژه نوع پرخطر آن ایجاد میشود.
دیسپلازی اغلب بدون علامت است و تنها با انجام منظم تست پاپ اسمیر یا تست HPV قابل شناسایی است. تشخیص زودهنگام این وضعیت اهمیت بالایی دارد، زیرا در صورت درمان بهموقع بهطور کامل قابل برگشت است و از بروز سرطان دهانه رحم پیشگیری میکند.
متن انگلیسی:
به نقل از Cancer
(SER-vih-kul dis-PLAY-zhuh) A term used to describe the presence of abnormal cells on the surface of the cervix. Cervical dysplasia is usually caused by certain types of human papillomavirus (HPV) and is found when a Pap test or cervical biopsy is done.
ترجمه فارسی:
دیسپلازی دهانه رحم (Cervical dysplasia) اصطلاحی است که برای توصیف وجود سلولهای غیرطبیعی بر روی سطح دهانه رحم به کار میرود. این وضعیت معمولاً در اثر ابتلا به برخی از انواع ویروس پاپیلومای انسانی (HPV) ایجاد میشود و معمولاً هنگام انجام تست پاپاسمیر یا نمونهبرداری از دهانه رحم تشخیص داده میشود.
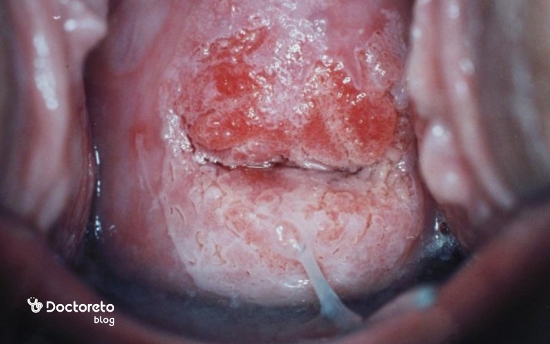
عکس دیسپلازی دهانه رحم

در تصاویر رنگی که مستقیماً از دهانه رحم (کولپوسکوپی) گرفته میشود، تغییرات سلولی دهانه رحم به صورت نواحی سفیدرنگ و غیرشفاف (استووایت) در پسزمینه صورتی و سالم بافت خودنمایی میکند. برخلاف بافت نرم و یکنواخت طبیعی، در اینجا سلولهای غیر طبیعی دهانه رحم ظاهری زبر، دانهدانه یا شبیه به موزائیک ایجاد میکنند.
فرق دیسپلازی با سرطان دهانه رحم چیست؟
تفاوت دیسپلازی دهانه رحم با سرطان دهانه رحم در میزان پیشرفت و رفتار سلولهای غیرطبیعی است. دیسپلازی به تغییرات پیشسرطانی سلولهای سطحی دهانه رحم گفته میشود که هنوز به بافتهای عمقی نفوذ نکردهاند. اما سرطان دهانه رحم زمانی رخ میدهد که سلولهای غیرطبیعی دیسپلاستیک کنترل خود را از دست داده و به بافتهای عمقی و حتی اندامهای دیگر گسترش پیدا کنند. به بیان دیگر، دیسپلازی مرحله هشدار است و در صورت شناسایی زودهنگام میتوان از تبدیل آن به سرطان جلوگیری کرد.
| ویژگی | دیسپلازی دهانه رحم | سرطان دهانه رحم |
|---|---|---|
| ماهیت بیماری | تغییرات پیشسرطانی سلولهای دهانه رحم | رشد و گسترش سلولهای سرطانی در دهانه رحم |
| میزان پیشرفت | محدود به سطح دهانه رحم و قابل برگشت | تهاجمی و قابل گسترش به بافتهای اطراف |
| علائم بالینی | معمولاً بدون علامت | ممکن است شامل خونریزی، درد لگن و ترشحات غیرطبیعی باشد |
| تشخیص | با تست پاپ اسمیر، تست HPV و کولپوسکوپی | با بیوپسی، تصویربرداری و بررسی بافتشناسی |
| درمان | پیگیری، لیزر، کرایوتراپی یا برداشت محدود بافت | جراحی، پرتودرمانی، شیمیدرمانی یا ترکیبی از آنها |
| پیشآگهی | بسیار خوب در صورت تشخیص زودهنگام | وابسته به مرحله بیماری در زمان تشخیص |
علائم دیسپلازی دهانه رحم
دیسپلازی دهانه رحم معمولاً هیچ علامت مشخصی ندارد و به همین دلیل اغلب تنها از طریق غربالگریهای منظم مانند پاپ اسمیر یا تست HPV شناسایی میشود. با این حال در برخی موارد پیشرفتهتر یا همراه با عفونت، ممکن است نشانههایی بروز کند که نیاز به بررسی توسط پزشک دارند. این علائم میتواند شامل موارد زیر باشد:
- خونریزی غیرطبیعی بین پریودها یا پس از رابطه جنسی
- ترشحات واژینال غیرمعمول با بوی ناخوشایند
- درد یا ناراحتی هنگام رابطه جنسی
- لکهبینی پس از معاینه یا فعالیت فیزیکی شدید
علت دیسپلازی دهانه رحم
اصلیترین علت دیسپلازی دهانه رحم عفونت پایدار با ویروس پاپیلومای انسانی (HPV) بهویژه انواع پرخطر آن است که از طریق تماس جنسی منتقل میشود. این ویروس با ایجاد تغییر در DNA سلولهای دهانه رحم، باعث رشد غیرطبیعی آنها میشود. با این حال، همه افرادی که به HPV یا زگیل تناسلی مبتلا میشوند دچار دیسپلازی نمیشوند و عوامل مختلفی میتوانند خطر بروز آن را افزایش دهند:
- شروع زودهنگام فعالیت جنسی
- داشتن چند شریک جنسی یا شریک مبتلا به HPV
- ضعف سیستم ایمنی (مانند ابتلا به HIV یا مصرف داروهای سرکوبکننده ایمنی)
- مصرف سیگار
- کمبود ویتامینهای A، C و فولات
- سابقه زایمانهای متعدد
تغییر شکل سلولهای دهانه رحم نشانه چیست؟
تغییر شکل سلولهای دهانه رحم یا دیسپلازی، نشاندهنده خروج سلولها از چرخه رشد طبیعی و شروع ناهنجاریهای ساختاری است. علت تغییرات سلولی دهانه رحم، نفوذ سویههای پرخطر ویروس HPV به DNA سلول است که باعث اختلال در تکثیر بافت میشود. این وضعیت لزوماً سرطان نیست، بلکه یک هشدار پیشسرطانی است که نشان میدهد سلولها پتانسیل بدخیمی دارند. تشخیص بهموقع این تغییرات در پاپاسمیر، فرصتی طلایی برای درمان پیشگیرانه و قطعی است.
علت تغییرات سلولی در پاپ اسمیر عبارتاند از:
- عفونت پایدار با ویروس HPV
- التهاب مزمن یا عفونتهای باکتریایی و قارچی
- تغییرات هورمونی ناشی از بارداری، یائسگی یا مصرف قرصهای ضدبارداری
- مصرف سیگار و تضعیف سیستم ایمنی
- تحریک مزمن دهانه رحم بهدلیل استفاده طولانی از وسایل پیشگیری داخل رحمی یا زخمهای مزمن

علت ایجاد زخم دهانه رحم چیست؟
عوامل خطر دیسپلازی دهانه رحم
عوامل خطر دیسپلازی دهانه رحم شامل مجموعهای از شرایط رفتاری، ویروسی و ایمنی است که احتمال تغییرات سلول های دهانه رحم را افزایش میدهند. این عوامل میتوانند زمینه را برای عفونت پایدار با ویروس پاپیلومای انسانی (HPV) یا اختلال در عملکرد سیستم ایمنی فراهم کنند و در نهایت منجر به بروز دیسپلازی شوند. شناخت و کنترل این عوامل، یکی از مؤثرترین راهها برای پیشگیری از سرطان دهانه رحم به شمار میرود:
- عفونت با ویروس پاپیلومای انسانی (HPV) بهویژه انواع پرخطر آن
- شروع زودهنگام فعالیت جنسی
- داشتن چند شریک جنسی یا شریک مبتلا به HPV
- ضعف سیستم ایمنی در اثر HIV یا مصرف داروهای سرکوبکننده ایمنی
- مصرف سیگار و دخانیات
- کمبود ویتامینهای A، C و فولات
- زایمانهای متعدد یا زایمان در سن پایین

طبقه بندی دیسپلازی دهانه رحم
طبقه بندی دیسپلازی دهانه رحم بر اساس سیستم CIN (نئوپلازی داخل اپیتلیالی دهانه رحم) انجام میشود. این سیستم، شدت ناهنجاری سلولی را بر اساس میزان نفوذ سلولهای غیرطبیعی در ضخامت لایه پوششی (اپیتلیوم) دهانه رحم میسنجد. هرچه لایههای بیشتری درگیر شده باشند، درجه دیسپلازی بالاتر و احتمال پیشرفت آن به سمت بدخیمی بیشتر است. این طبقهبندی راهنمای اصلی پزشکان برای انتخاب روش درمان است.
طبقهبندی درجات دیسپلازی (CIN) به این شکل است:
- درجه ۱ (CIN 1): تغییرات سلولی فقط در یکسوم ابتدایی (بخش پایینی) ضخامت بافت دیده میشود. این حالت معمولاً یک واکنش گذرا به عفونت HPV است و در اکثر موارد، سیستم ایمنی بدن بدون مداخله پزشکی آن را پاکسازی میکند.
- درجه ۲ (CIN 2): ناهنجاری و تکثیر غیرطبیعی سلولها تا دوسوم ضخامت بافت پیشروی کرده است. این مرحله یک وضعیت میانی است که نیاز به بررسی دقیقتر و گاهی درمان جدی دارد.
- درجه ۳ (CIN 3): سلولهای غیرطبیعی تمام ضخامت بافت را درگیر کردهاند. در این مرحله، نظم طبیعی سلولها کاملاً از بین رفته است اما هنوز به بافتهای زیرین (غشای پایه) تهاجم نکردهاند.
تشخیص دیسپلازی دهانه رحم
تشخیص دیسپلازی دهانه رحم معمولاً از طریق غربالگریهای منظم و آزمایشهای تخصصی مانند آزمایش پاپ اسمیر انجام میشود، زیرا این بیماری اغلب بدون علامت است. هدف از تشخیص زودهنگام، شناسایی تغییرات سلولی پیشسرطانی پیش از پیشرفت به سرطان است. برای ارزیابی دقیقتر، پزشک از ترکیبی از روشهای زیر استفاده میکند:
- تست پاپ اسمیر (Pap smear) برای شناسایی سلولهای غیرطبیعی دهانه رحم
- تست HPV برای بررسی وجود انواع پرخطر ویروس پاپیلومای انسانی
- کولپوسکوپی، مشاهده دقیق دهانه رحم با میکروسکوپ مخصوص در صورت وجود نتایج غیرطبیعی
- نمونهبرداری (بیوپسی) از بافت دهانه رحم جهت تعیین شدت تغییرات سلولی
درمان دیسپلازی دهانه رحم
درمان دیسپلازی دهانه رحم بسته به شدت تغییرات سلولی و نتایج آزمایش پاپ اسمیر یا کولپوسکوپی تعیین میشود. در دیسپلازی خفیف دهانه رحم، بدن معمولاً قادر است سلولهای غیرطبیعی را بهطور طبیعی ترمیم کند و پزشک تنها پیگیری منظم را توصیه میکند. اما در درجات متوسط تا شدید، درمان برای جلوگیری از پیشرفت به سرطان ضروری است.
روشهای درمان دیسپلازی دهانه رحم شامل موارد زیر میشود:
- کرایوتراپی (انجماد سلولهای غیرطبیعی با نیتروژن مایع)
- لیزر تراپی (تخریب دقیق سلولهای آسیبدیده)
- روش leep یا cone biopsy (برداشتن بخش کوچکی از بافت دهانه رحم برای حذف سلولهای غیرطبیعی)
- جراحی در موارد پیشرفته برای برداشتن کامل بافتهای درگیر
عوارض تغییرات سلولی دهانه رحم
تغییرات سلولی دهانه رحم یا دیسپلازی، در صورت تشخیص ندادن و درمان نشدن، میتواند عوارض جدی به همراه داشته باشد. مهمترین عارضه، پیشرفت تدریجی این ناهنجاریها به سمت سرطان دهانه رحم است که با تهاجم به بافتهای مجاور و درگیر کردن غدد لنفاوی همراه میشود. علاوه بر خطر بدخیمی، روشهای درمانی در مراحل پیشرفته (مانند جراحیهای وسیع) ممکن است باعث تنگی دهانه رحم یا ضعف بافتی شود که در آینده بر توانایی باروری یا نگهداشتن بارداری تأثیر بگذارد.
بنابراین، عارضه اصلی این تغییرات نه در خود سلولها، بلکه در پتانسیل تخریبی آنها برای تبدیل شدن به یک بیماری مهاجم است که سلامت عمومی و باروری زنان را تهدید میکند.
پیشگیری از دیسپلازی دهانه رحم
پیشگیری از دیسپلازی دهانه رحم با هدف جلوگیری از عفونت HPV و حفظ سلامت سلولهای دهانه رحم انجام میشود. با رعایت چند اقدام ساده و علمی میتوان احتمال بروز این تغییرات سلولی را به حداقل رساند و از پیشرفت آنها به سرطان جلوگیری کرد. مهمترین روشهای پیشگیری عبارتاند از:
- واکسیناسیون علیه ویروس پاپیلومای انسانی (HPV) پیش از شروع فعالیت جنسی
- انجام منظم تستهای غربالگری مانند پاپ اسمیر و تست HPV
- رعایت روابط جنسی ایمن و استفاده از وسایل محافظتی
- ترک مصرف سیگار و سایر دخانیات
- داشتن رژیم غذایی سرشار از میوه، سبزی و ویتامینهای آنتیاکسیدان
- حفظ وزن سالم و تقویت سیستم ایمنی بدن از طریق خواب کافی و فعالیت بدنی منظم
نتیجه گیری
دیسپلازی دهانه رحم بهخودیخود سرطان نیست اما میتواند زنگ خطری برای تغییرات سلولی جدیتر باشد. انجام منظم تست پاپ اسمیر و آزمایش HPV بهترین راه برای شناسایی زودهنگام این تغییرات است. در مراحل اولیه، درمانهای ساده و غیرتهاجمی میتوانند سلولهای غیرطبیعی را از بین ببرند و از پیشرفت بیماری جلوگیری کنند. سبک زندگی سالم، واکسیناسیون HPV و پرهیز از دخانیات نیز نقش مهمی در پیشگیری دارند. آگاهی زنان از اهمیت غربالگری و توجه به سلامت دستگاه تناسلی، کلید حفظ سلامت باروری و پیشگیری از سرطان است. تشخیص زودهنگام همیشه بهترین مسیر درمان است و میتواند آیندهای سالمتر را رقم بزند.
دکترتو مراقب سلامتی شماست!
سلام جدیدا ب دیسپلازی سین ۱ مبتلا شدم ،میتونم اقدام ب بارداری بکنم؟
سلام، دیسپلازی سین ۱ (CIN 1) معمولاً خفیف محسوب میشود و در بسیاری از موارد خودبهخود برطرف میشود. اگر پاپاسمیر و کولپوسکوپی تحت نظر پزشک بوده و مشکلی از نظر پیشرفت ضایعه وجود ندارد، در بیشتر موارد مانعی برای بارداری نیست. با این حال، توصیه میشود پیش از اقدام به بارداری با پزشک متخصص زنان مشورت کنید تا بر اساس وضعیت دقیق دهانه رحم و نتایج آزمایشات، راهنمایی قطعی و شخصیسازیشده دریافت کنید.
متخصص زنان و زایمان
سلام من cin ۱شدم سال 99 ولی تست hpv منفی بوده باتوجه به اینکه زایمان طبیعی هم داشتم الان خیلی نگرانم یعنی ازمایش hpvمنفی کاذب بوده اون سال؟؟؟؟یعنی فقط hpv باعث تغییره؟؟؟؟
سلام! CIN 1 به معنی تغییرات خفیف در سلولهای گردن رحم است که معمولاً خود به خود بهبود مییابند. تست HPV منفی به این معنی است که ویروس HPV مسئول تغییرات سلولی نبوده است. البته، HPV یکی از اصلیترین عواملی است که میتواند باعث ایجاد CIN شود، اما تغییرات سلولی به دلایل دیگری نیز ممکن است اتفاق بیفتد. به طور کلی، با توجه به وضعیت شما و زایمان طبیعی که داشتهاید، برای ارزیابی دقیقتر و پیگیری وضعیت، مشاوره با پزشک متخصص زنان ضروری است تا وضعیت شما بررسی و از نگرانیها کاسته شود.
متخصص زنان و زایمان
سوال داشتم.این بیماری به غیر رابطه جنسی منتقل میشه
سلام
بیماری دیسپلازی دهانه رحم معمولاً به دلیل عفونت ویروسی HPV (ویروس پاپیلومای انسانی) ایجاد میشود که اغلب از طریق رابطه جنسی منتقل میشود. این بیماری به طور معمول از طریق تماس جنسی، حتی تماسهای غیرمستقیم، منتقل میشود. با این حال، ممکن است در شرایط خاصی به غیر از رابطه جنسی هم انتقال یابد، ولی شیوع اصلی آن از طریق روابط جنسی است.
سلام امکان داره بهترین متخصص های زنان سنندج و تهران برای درمان Hpv معرفی کنید
نرگس عزیز
از لینک زیر وارد شده
و براساس شهر و امتیاز پزشک
متخصص مورد نظر را انتخاب کنید
متخصص زنان و زایمان
با سلام
سوالی داشتم اگر خانمی مبتلا به دیسپلازی درجه سه باشه امکان بارداری براش وجود داره ؟!
سلام
دیسپلازی دهانه رحم به دلیل ابتلا به ویروس HPV ایجاد میشود. این بیماری معمولا قابل درمان بوده و به ندرت تبدیل به سرطان میشود
در صورت درمان کامل
می توانید اقدام به بارداری کنید