فهرست مطالب
خلاصه این مطلب را در این پادکست گوش دهید:
واریس معده نوعی واریس گوارشی است که رگهای متورم و شکننده در دیواره معده ایجاد میکند. این بیماری معمولا ناشی از فشار بالای ورید پورتال در بیماریهای کبدی مانند سیروز است و معمولا بدون علامت است تا زمانی که پاره شود و خونریزی گوارشی رخ دهد. بعد از پاره شدن واریس ممکن است عوارض کمخطر مانند درد شکمی خفیف، تهوع و تغییرات گوارشی یا عوارض پرخطر مانند خونریزی شدید، استفراغ خونی، مدفوع سیاه، کمخونی حاد و شوک ایجاد کند که نیاز به بررسی تخصصی دارد. اما چطور واریس در معده را تشخیص داده و درمان کنیم؟ برای بررسی تخصصی این بیماری، در ادامه این مطلب از دکترتو همراه ما باشید.
واریس معده چیست؟
بیماری واریس معده یکی از بیماریهای دستگاه گوارش است که با رگهای خونی غیرطبیعی و گشادشده در پوشش معده شناخته میشود. واریس زمانی اتفاق میافتد که در سیستم سیاهرگ باب، که خون را از اندامهای گوارشی به کبد میبرد، فشار بیشتری وجود داشتهباشد. برخلاف واریس مری که بیشتر شناخته شدهاست، واریس معده بهطور خاص معده را تحتتاثیر قرار میدهد.
این رگهای خونی متسع، نتیجه بیماریهای کبدی مانند سیروز است که در آن بافت اسکار ایجاد میشود و جریان طبیعی خون را مختل میکند. هنگامی که جریان خون مسدود میشود، فشار در سیستم ورید پورتال افزایش مییابد و باعث ایجاد واریس معده میشود.
واریس معده میتواند یک وضعیت نگرانکننده باشد. اگر رگهای برآمده پاره شده و شروع به خونریزی کنند، میتوانند منجربه عوارض شدید و حتی مرگ شوند.
| علل | علائم |
|---|---|
| گشاد شدن غیرطبیعی سیاهرگهای پوشش داخلی معده | اغلب بدون علامت تا زمان پاره شدن سیاهرگها |
| سیروز کبدی | استفراغ خونی |
| افزایش فشار ورید باب | ملنا (مدفوع سیاهرنگ) |
| درد شکمی |

تفاوت واریس معده و مری چیست؟
تفاوت اصلی بین واریس معده و مری در محل وقوع، شیوع و شدت خونریزی آنها نهفته است. واریس مری به وریدهای متسع در مری اشاره دارد که شایعتر هستند و معمولا با فشار بالای پورتال مرتبطاند در حالی که واریس معده در معده رخ میدهد و کمتر شایع است اما خونریزی شدیدتری ایجاد میکند. واریس مری معمولاً با اندوسکوپی آسانتر تشخیص داده میشود، اما واریس معده نیاز به بررسی دقیقتر دارد.
علائم واریس معده چیست؟
علائم واریس معده بستهبه اندازه و وسعت آنها میتواند متفاوت باشد. بااینحال، این بیماری اغلب بدون علامت است تا زمانی که عارضهای مانند خونریزی رخ دهد. هنگامی که علائم ظاهر میشوند، ممکناست موارد زیر بروز کند:
- استفراغ خونی (هماتمزیس)
- مدفوع سیاه و قیریرنگ (ملنا)
- درد یا ناراحتی شکم
- احساس سیری یا نفخ
- تهوع و استفراغ
- ضعف یا خستگی
- کاهش وزن ناخواسته
علت واریس معده چیست؟
علل ایجاد واریس معده را میتوان به شرایط خاصی نسبت داد که منجربه افزایش فشار در سیستم ورید پورتال میشود که خون را از اندامهای گوارشی به کبد میرساند. علل اولیه واریس معده عبارتند از:
- افزایش فشار ورید باب: فشار بالای پورت باعث هدایت خون به وریدهای زیرمخاطی معده میشود، جریان و فشار را در آنها بالا میبرد و زمینهی گشادشدن رگ و تشکیل واریس را فراهم میکند.
- ایجاد مسیرهای فرعی خون: خون پرفشار پورت به وریدهای معده منحرف میشود و بهعلت افزایش بار حجمی و فشاری، این وریدها متسع شده و واریس معده ایجاد میشود.
- سیروز کبدی: سیروز کبدی یک بیماری مزمن کبدی است که با تشکیل بافت اسکار، ساختار طبیعی کبد و جریان خون را مختل میکند.
متن انگلیسی:
به نقل از سایت my.clevelandclinic
Gastric varices are enlarged and swollen blood vessels (veins) within the lining of your stomach. They form when something blocks the blood flow to your liver.
ترجمه فارسی:
واریسهای معده رگهای خونی (سیاهرگهای) بزرگ و متورمی هستند که در پوشش داخلی معده شکل میگیرند. این واریسها زمانی ایجاد میشوند که چیزی جریان خون به کبد را مسدود یا مختل کند.
چه وریدهایی در بروز واریس معده نقش دارند؟
بروز واریس معده شامل درگیری وریدهای خاصی در معده است. این سیاهرگها میتوانند گشاد شده و متسع شوند و در صورت افزایش فشار در سیستم ورید پورتال، منجربه تشکیل واریس معده شده و مستعد خونریزی و سایر عوارض باشند. وریدهای اولیه مرتبط با واریس معده عبارتند از:
- ورید معده چپ: ورید معده چپ شاخهای از سیاهرگ باب است که وظیفه انتقال خون از اندامهای گوارشی به کبد را برعهده دارد. این سیاهرگ در امتداد انحنای کمتر معده قرار دارد و شایعترین سیاهرگ است که در تشکیل واریس معده نقش دارد.
- وریدهای کوتاه معده: وریدهای کوتاه معده، وریدهای کوچکی هستند که ورید طحال را به قسمت فوقانی معده متصل میکنند. این سیاهرگها نیز در ایجاد واریس معده نقش دارند.

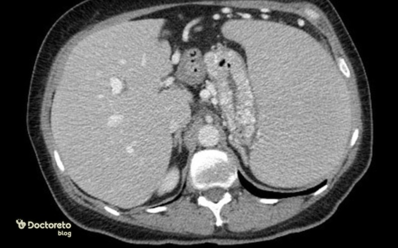
واریس معده چگونه تشخیص داده می شود؟
واریس معده معمولاً از طریق روشهای تصویربرداری و اندوسکوپی تشخیص داده میشود. اندوسکوپی فوقانی به عنوان استاندارد طلایی عمل میکند و اجازه میدهد وریدهای متسع در معده مستقیما مشاهده شوند. این روش نه تنها تشخیص را تایید میکند، بلکه خطر خونریزی را هم ارزیابی میکند.
درمان واریس معده چیست؟
هدف درمان واریس معده پیشگیری یا کنترل دورههای خونریزی است، زیرا این واریسها در مقایسه با واریس مری خطر خونریزی بیشتری دارند. رویکرد درمانی خاص میتواند بستهبه شدت واریس، وجود خونریزی و عوامل فردی بیمار متفاوت باشد. برخیاز گزینههای درمانی رایج عبارت است از:
- دارو درمانی واریس معده: ممکن است برای کاهش فشار پورتال و کاهش خطر خونریزی ناشی از واریس معده تجویز شوند. این داروها با کاهش جریان خون به واریس عمل میکنند و میتوانند به عنوان یک اقدام پیشگیرانه استفاده شوند.
- عمل واریس معده: در موارد نادری که سایر درمانها شکست خورده یا امکانپذیر نیستند، ممکناست جراحی درنظر گرفتهشود. برای مدیریت واریس معده میتوان از تخلیه عروق (برداشتن یا تغییر مسیر رگهای خونی) استفاده کرد.
- چسب واریس معده؛ (معمولا سیانوآکریلات) مادهای است که بهصورت اندوسکوپیک داخل واریس تزریق میشود تا با بستن رگ و لختهسازی موضعی، خونریزی را متوقف کند و خطر عود را کاهش دهد.
۱. چسب واریس معده
چسب سیانواکریلات که به عنوان چسب بافت نیز شناخته میشود، یک چسب پزشکی است که گاهیاوقات بهعنوان یک گزینه درمانی برای واریس معده استفاده میشود. هنگامی که چسب سیانواکریلات در طی یک روش آندوسکوپی به واریس معده تزریق میشود، به هموستاز (توقف خونریزی) و از بینبردن واریس کمک میکند.
روشی که با استفاده از چسب سیانواکریلات استفاده میشود، تزریق آندوسکوپی سیانواکریلات یا تزریق چسب نام دارد. این چسب هنگام خونریزی واریس معده و شرایط پرخطر استفاده شده و در تماس با خون به سرعت پلیمریزه میشود و لخته جامدی را تشکیل میدهد که واریسها را میبندد و از خونریزی بیشتر جلوگیری میکند.
۲. عمل واریس معده
جراحی واریس معده شامل روشهای جراحی و اندوسکوپیک برای کنترل خونریزی و پیشگیری از عود است. درمان اولیه معمولا اندوسکوپیک است مانند تزریق سیانواکریلات (چسب) که خونریزی را متوقف میکند. در موارد شدید، جراحی انجام میگیرد تا فشار پورتال کاهش یابد.
متن انگلیسی:
به نقل از سایت ncbi
the management of gastric varices (GOV2/IGV1) depends on the acuity of presentation and is classified into three categories: primary prophylaxis, management of acute variceal bleeding, and secondary prophylaxis.
ترجمه فارسی:
مدیریت واریسهای معده بسته به حاد بودن تظاهر بالینی تعیین میشود و در ۳ دسته جای میگیرد: پیشگیری اولیه، مدیریت خونریزی حاد واریسی و پیشگیری ثانویه.
۳. غذاهای مفید برای واریس معده چیست؟
رژیم غذایی مفید برای واریس معده شامل مواردی هستند که از تحریک وریدها جلوگیری کنند. میوههایی مانند توتها، مرکبات و سبزیجات برگدار مانند اسفناج، سرشار از آنتیاکسیدان هستند و التهاب را کاهش میدهند. البته راهنماهای معتبر برای پیشگیری از خونریزی واریس معده بر مدیریت بیماری زمینهای کبدی، اجتناب از الکل و کاهش نمک تاکید دارند اما مواد غذایی زیر هم میتوانند کمککننده باشند:
- غذاهای پر فیبر: غلات کامل، میوهها و سبزیجات
- پروتئینهای بدون چربی: منابع پروتئینهای بدون چربی مانند مرغ، ماهی و حبوبات
- مصرف محدود سدیم: سدیم بیشازحد میتواند منجربه احتباس مایعات و افزایش فشار در رگهای خونی شود.

عوارض جانبی واریس معده
خطرات و عوارض واریس معده شامل موارد شایع مانند خونریزی گوارشی و موارد جدی مانند شوک هیپوولمیک (کاهش حجم داخل عروقی) است. خونریزی شایعترین عارضه است که با استفراغ خون یا مدفوع سیاه ظاهر میشود و میتواند شدید باشد. عوارض جدی مانند مرگ و میر در خونریزی حاد نادر است:
- خونریزی گوارشی
- پارگی واریس
- تجمع مایع در حفره شکم و در نتیجه اتساع و ناراحتی شکمی
پیشگیری از واریس معده
پیشگیری از واریس معده شامل رسیدگی به علل زمینهای مانند بیماریهای کبدی و فشارخون پورتال است. برخیاز اقدامات پیشگیرانه عبارتند از:
- درمان سریع بیماریهای کبدی مانند هپاتیت یا سیروز، برای جلوگیری از پیشرفت فشارخون پورتال
- اصلاح سبک زندگی، از جمله محدودکردن مصرف الکل و حفظ وزن سالم
- معاینات پزشکی منظم برای نظارتبر سلامت کبد و مدیریت عوامل خطر
نتیجه گیری
واریس معده رگهای خونی گشادشده در معده است که میتواند منجربه عوارض جدی مانند خونریزی دستگاه گوارش شود. آگاهی از علائم، مراجعه فوری به پزشک و مشورت با متخصص گوارش برای تشخیص و درمان مناسب بسیار مهم است. با مدیریت بیماریهای زمینهای کبد، پیروی از توصیههای پزشکی و ایجاد تغییرات در شیوه زندگی، افراد میتوانند خطر عوارض مرتبط با واریس معده را کاهش دهند.
دکترتو مراقب سلامتی شماست!

بنده وارسی معده داشتم که به وسیله پزشک متخصص چسب گلو زده شده به معده بنده…ولی متاسفانه بعد مدت چهار روز از ناحیه شکم و معده احساس درد دارم .علتش چی میتونه باشه..البته اینم بگم که مدفوعم تمایل به رنگ سیاه است
بنده وارسی معده داشتم که به وسیله پزشک متخصص چسب گلو زده شده به معده بنده…ولی متاسفانه بعد مدت چهار روز از ناحیه شکم و معده احساس درد دارم .علتش چی میتونه باشه..البته اینم بگم که مدفوعم تمایل به رنگ سیاه است
بنده وارسی معده داشتم که به وسیله پزشک متخصص چسب گلو زده شده به معده بنده…ولی متاسفانه بعد مدت چهار روز از ناحیه شکم و معده احساس درد دارم .علتش چی میتونه باشه..البته اینم بگم که مدفوعم تمایل به رنگ سیاه است
سلام. درد معده همراه با مدفوع سیاه بعد از هر نوع چسب یا روش درمانی داخل معده میتواند نشانه خونریزی گوارشی یا تحریک مخاط معده باشد و نیاز به بررسی فوری دارد. بهتر است هرچه سریعتر به متخصص گوارش مراجعه کنید تا معاینه، آندوسکوپی یا آزمایش خون انجام شود و علت دقیق مشخص شود، چون خونریزی گوارشی میتواند جدی باشد و نیاز به درمان فوری دارد. تا مراجعه از مصرف غذاهای سنگین و محرک پرهیز کنید.
باسلام وعرض ادب من ۱۵ روز پیش باواریا معده مواجه شدم وحدود ده روز دربیمارستان بستری شدم بعداز عملیات باندکشی بعداز ۱۵ روز بعض موقع ها موقع سرفه کردن خلط همراه با خون میآید نشانه آن چیست سپاسگزارم
دوست عزیز
ممکنه این خون های خارج شده به همراه خلط به علت واکنش به عمل جراحی شما باشد. با پزشک معالج مشورت کنید.
درود خیلی عالیه تا دچار عارضه ای میشوم سریع از اطلاعات مهمی دست پیدا میکنم واما از دکتر تو سوالی دارم چه عواملی باعث انسداد ورید پورت ومزانتریک می شود واینکه این انسداد در دراز مدت باعث سیروز می شود چرا و برای پیشگیری چه باید کرد