فهرست مطالب
سرطان معده یکی از شایعترین و درعینحال پیچیدهترین انواع سرطانهای دستگاه گوارش است. این بیماری زمانی بروز میکند که سلولهای پوشش داخلی معده دچار تغییرات ژنتیکی شده و شروع به رشد غیرطبیعی و کنترلناپذیر میکنند. به مرور زمان، این سلولهای سرطانی به لایههای عمیقتر معده نفوذ کرده و حتی به ارگانهای مجاور گسترش مییابند. از آنجا که در مراحل اولیه، علائم بیماری معمولاً خفیف یا مبهم هستند، تشخیص بهموقع آن برای بسیاری از بیماران دشوار میشود برای بررسی های بیشتر و شناخت مشکلات معده به دکتر گوارش مراجعه کنید. در ادامه این مقاله از دکترتو انواع عکس سرطان معده بدخیم را مشاهده خواهید کرد. با ما همراه باشید.






عکس سرطان معده بدخیم
تصویری از یک تومور بدخیم در معده را در ادامه میبینید تا مفهوم عمومی سرطان معده بدخیم برای شما روشنتر شود. سرطان معده اغلب از سلولهای غدهای در پوشش داخلی معده (مخاط) آغاز میشود و سپس به لایههای عمیقتر معده و حتی به ارگانهای مجاور سرایت میکند.

متن انگلیسی:
به نقل از سایت dradityakulkarni
Therefore, while it might take several years to progress from stage one to stage two, advancing from stage two to stage three or four could take a considerably shorter period. Unfortunately, predicting this spread is challenging.
ترجمه فارسی:
این بیماری در حالی که ممکن است چندین سال طول بکشد تا از مرحله یک به مرحله دو پیشرفت کند، پیشرفت از مرحله دو به مرحله سه یا چهار میتواند دوره بسیار کوتاهتری طول بکشد. متأسفانه، پیشبینی این شیوع چالش برانگیز است.
عکس زخم سرطان معده بدخیم

زخمهای ناشی از سرطان معده ممکن است در ابتدا شبیه به زخم معده معمولی باشند، اما با گذشت زمان شکل، اندازه یا حالت آنها تغییر میکند. حتی ممکن است علامت پیشرفتهتری از بیماری باشند. این نکته اهمیت تشخیص درست و سریع را بیشتر میکند. در ادامه تصویری از زخم ناشی از سرطان معده بدخیم را مشاهده میکنید.
عکس سرطان معده بدخیم در مراحل اولیه

در این بخش، تصویری از سرطان معده بدخیم در مراحل اولیه را به شما نشان میدهیم. تشخیص در مراحل اولیه بسیار مهم است زیرا احتمال درمان موفقتر و بقا را بیشتر میکند. بهطور مثال، اگر تومور فقط در مخاط یا زیرمخاط معده باشد، درمان اثرگذارتر است.

| ویژگی | مراحل اولیه | مراحل پیشرفته |
|---|---|---|
| محل تومور | فقط در مخاط یا زیرمخاط معده | درگیر کردن معده و ارگانهای مجاور (کبد، پانکراس، اندامهای دیگر) |
| گسترش بیماری | محدود به معده | متاستاز به سایر نقاط بدن |
| سرعت پیشرفت | چندین سال تا مرحله بعدی | چند هفته تا چند ماه |
| درمان | اثرگذارتر، احتمال درمان موفقتر | چالشبرانگیزتر، پیشبینی دشوارتر |
| پیشآگهی | بقای بالاتر با تشخیص زودهنگام | کنترل بیماری دشوارتر، تمرکز بر کیفیت زندگی |
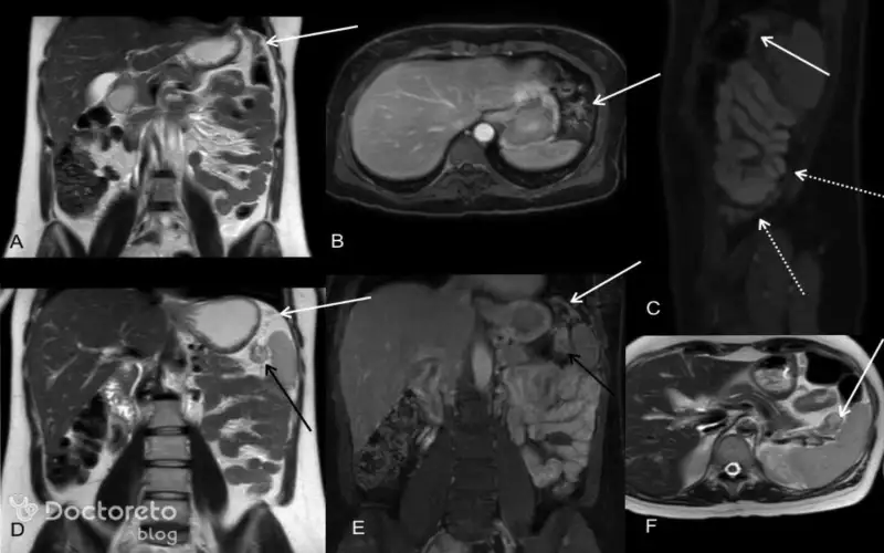
عکس سرطان معده بدخیم در مراحل پیشرفته

در این بخش، تصویری از سرطان معده بدخیم در مراحل پیشرفته را نشان دادهایم. در چنین شرایطی تومور علاوه بر معده، ارگانهای مجاور مانند کبد، ریه و استخوان یا اندامهای دیگر را هم درگیر کرده است. در این مرحله، درمان چالشبرانگیزتر شده و پیشبینی روند بیماری دشوارتر است.
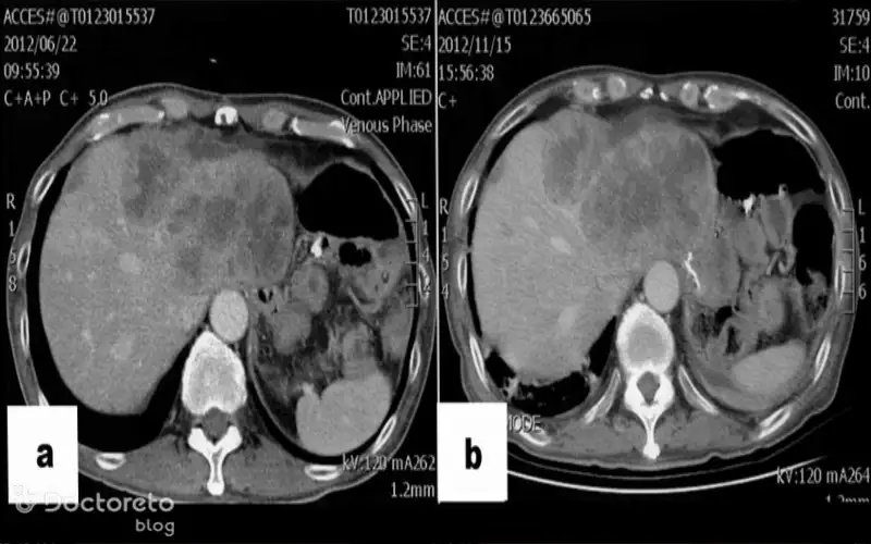
عکس تصویربرداری های سرطان معده بدخیم

تصویربرداریهای پزشکی شامل سی تی اسکن، اندوسکوپی به همراه بیوپسی سرطان معده بدخیم میشود. این تصاویر به پزشکان کمک میکنند تا اندازه تومور، نفوذ به لایههای معده و احتمال گسترش آن به ارگانهای دیگر را ارزیابی کنند. با تشخیص قطعی به کمک بیوپسی و نقش تصویربرداری در مرحلهبندی، مسیر درمانی مؤثرتر و تصمیمگیری بهتر پزشک را ممکن میسازد.
عکس آندوسکوپی سرطان معده بدخیم

آندوسکوپی یکی از روشهای مهم تشخیصی برای سرطان معده بدخیم است که در آن از یک لوله نازک با دوربین برای مشاهده داخل معده استفاده میشود. این روش امکان نمونهبرداری (بیوپسی) و مشاهده مستقیم تومور را فراهم میکند. این تکنیک در تشخیص زودرس بیماری نقشی مهم دارد.
متن انگلیسی:
به نقل از سایت cancer
Stomach cancer develops when cells in any part of the stomach grow and divide abnormally. Tumours can begin anywhere in the stomach but most begin in the glandular tissue on the stomach’s inner surface. This type of cancer is an adenocarcinoma of the stomach (gastric cancer).
ترجمه فارسی:
سرطان معده زمانی ایجاد میشود که سلولها در هر قسمتی از معده به طور غیرطبیعی رشد و تقسیم میشوند. تومورها میتوانند در هر جایی از معده شروع شوند، اما بیشتر آنها در بافت غدهای سطح داخلی معده شروع میشوند. این نوع سرطان، آدنوکارسینوم معده (سرطان معده) است.
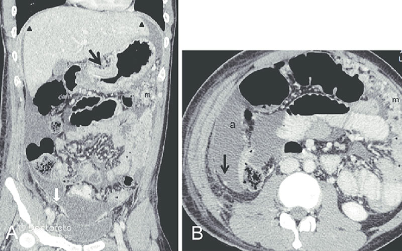
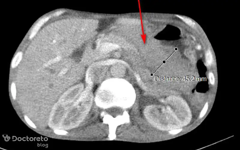
عکس سی تی اسکن سرطان معده بدخیم

در ادامه تصویر سیتیاسکن مربوط به سرطان معده بدخیم را مشاهده میکنید. سیتیاسکن به پزشک اجازه میدهد تا محل، اندازه و گسترش تومور را در معده و غدد لنفاوی اطراف و ارگانهای مجاور ارزیابی کند، که برای برنامهریزی درمان بسیار مهم است.
برای سرطان معده بدخیم به چه دکتری مراجعه کنیم؟
برای اطلاع بیشتر درباره سرطان معده بدخیم می توانید از بهترین دکترهای گوارش ایران نوبت بگیرید.
در ادامه لیستی از برجسته ترین پزشکان گوارش در برخی شهرهای مختلف ایران را مشاهده میکنید:
نتیجه گیری
سرطان معده بدخیم یکی از خطرناکترین بیماریهای دستگاه گوارش است که در صورت تشخیص دیرهنگام به بافتها و اندامهای مجاور گسترش مییابد. آگاهی از شکل و ویژگیهای این نوع سرطان، بهویژه از طریق مشاهده عکس سرطان معده بدخیم در مراحل مختلف، نقش مؤثری در درک بهتر وضعیت بیمار و تشخیص سریعتر دارد. هر تصویر سرطان معده بدخیم میتوانند تفاوت بین مراحل اولیه و پیشرفته را بهخوبی نشان دهند.
همچنین بررسی هر عکس سرطان معده بدخیم در کنار دادههای تصویربرداری پزشکی مانند آندوسکوپی یا سیتیاسکن، به پزشکان کمک میکند تا شدت درگیری معده و میزان گسترش تومور را دقیقتر ارزیابی کنند. به همین دلیل، استفاده از تصاویر واقعی و مستند، بخشی مهم از مراحل آگاهیرسانی و تصمیمگیری درمانی محسوب میشود. تشخیص زودهنگام این بیماری کلید اصلی موفقیت درمان و افزایش طول عمر بیماران است.
دکترتو مراقب سلامتی شماست!