فهرست مطالب
تومورهای خوشخیم معده به آن دسته از تومورهای غیرسرطانی در پوشش یا دیواره معده گفته میشوند که برخلاف نوع بدخیم، به بافتهای مجاور حمله نمیکنند یا به دیگر نقاط بدن منتشر نمیشوند. اغلب این تومورها نشانهای ندارند یا علائم آنهت خفیف و مبهم است. این موضوع باعث میشود که تشخیص این بیماری در مراحل اولیه دشوار شود. شناخت دقیقتر این نوع ضایعات و استفاده از عکس سرطان معده خوش خیم، آگاهی را افزایش داده و کمک میکند تا موارد خوشخیم و بدخیم بهتر از هم تشخیص داده شوند برای بررسی دقیق تر به دکتر گوارش مراجعه کنید. در ادامه این مقاله از دکترتو، انواع تصویر سرطان معده خوش خیم (از جمله عکس سرطان معده خوش خیم، زخم ناشی از آن، پولیپها و تصویربرداریهای تشخیصی) را مشاهده خواهید کرد تا دید جامعی نسبت به این وضعیت داشته باشید.







عکس سرطان معده خوش خیم
در این بخش، عکسهایی از تومورهای خوشخیم معده را مشاهده میکنید. سرطان معده خوش خیم ممکن است در لایه زیر مخاط قرار داشته باشند، به آرامی رشد کنند و معمولاً به بافتهای مجاور نفوذ نکنند. مشاهده این عکسها سبب میشود که تفاوت ظاهری آنها با تومورهای بدخیم معده را بهتر درک کنید.

متن انگلیسی:
به نقل از سایت my.clevelandclinic
A benign tumor isn’t a malignant (cancerous) tumor. It grows more slowly than a cancerous tumor, has even borders and, unlike cancerous tumors, it won’t spread to other parts of your body. But there are specific types of benign tumors that can turn into cancer.
ترجمه فارسی:
تومور خوشخیم، تومور بدخیم (سرطانی) نیست. این تومور کندتر از تومور سرطانی رشد میکند، مرزهای یکنواختی دارد و برخلاف تومورهای سرطانی، به سایر قسمتهای بدن شما گسترش نمییابد. اما انواع خاصی از تومورهای خوشخیم وجود دارند که به سرطان تبدیل میشوند.
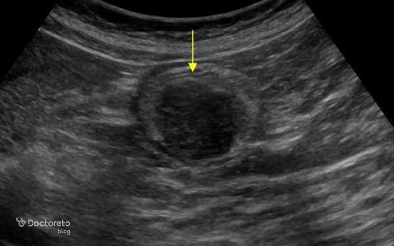
عکس زخم سرطان معده خوش خیم

گاهی اوقات رشدهای خوشخیم معده باعث ایجاد زخم در پوشش معده شده که در تصاویر تشخیصی دیده میشوند. این زخمها ممکن است با زخمهای معمولی متفاوت باشند؛ چرا که منشأ رشد توموری دارند. تشخیص دقیق این موضوع اهمیت دارد چون بعضی زخمها امکان تبدیل به ضایعات خطرناکتر را دارند. عکس این بخش به شما کمک میکند تا ظاهر این زخمها را بیشتر بشناسید.
عکس پولیپ های خوش خیم معده

پولیپهای معده در کنار شایع بودن، اغلب خوشخیم هستند. اما باید توجه داشت که برخی از آنها ممکن است پتانسیل تبدیل به یک ضایعه بدخیم را داشته باشند؛ بنابراین مشاهده و ارزیابی دقیق نوع این پولیپها مهم است. اغلب این پولیپها بدون علامت بوده و در حین اندوسکوپی تصادفی کشف میشوند. شناسایی و پایش آنها اهمیت دارد تا در صورت تغییر شکل یا اندازه، اقدامات پیشگیرانه انجام شود.
متن انگلیسی:
به نقل از سایت cancer
A non-cancerous (benign) tumour of the stomach is a growth that does not spread (metastasize) to other parts of the body. Non-cancerous tumours are not usually life-threatening.
ترجمه فارسی:
تومور غیرسرطانی (خوشخیم) معده، تودهای است که به سایر قسمتهای بدن گسترش نمییابد (متاستاز نمیدهد). تومورهای غیرسرطانی معمولاً تهدیدکننده زندگی نیستند.
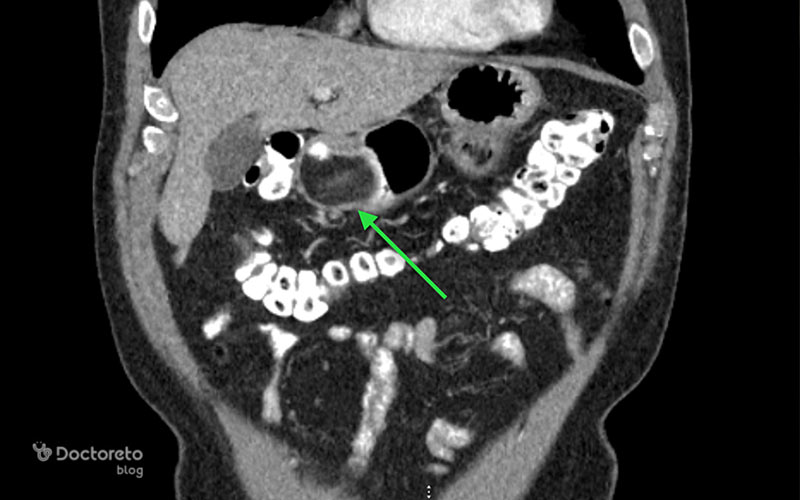
عکس تصویربرداری های سرطان معده خوش خیم

تصویربرداری پزشکی مانند سیتیاسکن و MRI به پزشکان کمک میکنند تا موقعیت، اندازه و ماهیت تومورهای معده را بررسی کنند. در ث تومورهای خوشخیم نیز این روشها کاربرد دارند تا احتمال نفوذ به بافتهای مجاور یا تبدیل احتمالی به بدخیم بیشتر و با دقت بالاتر ارزیابی شود. عکس این بخش نمونهای از این نوع تصویربرداریها را نشان میدهد.
عکس آندوسکوپی سرطان معده خوش خیم

آندوسکوپی یکی از مهمترین روشهای بررسی داخل معده است؛ بهویژه برای مشاهده مستقیم رشد و برداشت نمونه (بیوپسی). در تومورهای خوشخیم، مشاهده مستقیم از طریق آندوسکوپ کمک میکند تا پزشک ماهیت ضایعه را ارزیابی کند. عکس ادامه نشاندهنده اندوسکوپی از ضایعات معده است.
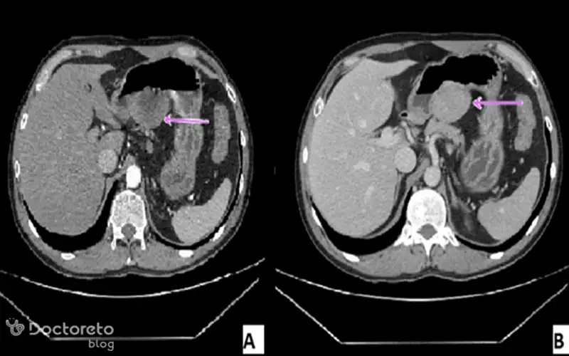
عکس سی تی اسکن سرطان معده خوش خیم

سیتیاسکن ابزار قوی دیگری برای ارزیابی تومورهای معده است. این روش تصویربرداری به ویژه در تشخیص اندازه، موقعیت و ارتباط آنها با ساختارهای اطراف کاربرد دارد. حتی برای سلولهای خوشخیم سرطانی هم سیتیاسکن اطلاعات ارزشمندی در مورد چگونگی رشد و وضعیت بیمار ارائه میدهد. استفاده از این تصاویر کمک میکند تا پزشک نگاهی دقیقتر به تومور معده داشته باشد.
| روش تصویربرداری | کاربرد اصلی |
|---|---|
| آندوسکوپی | مشاهده مستقیم، برداشت بیوپسی |
| سی تی اسکن | تشخیص اندازه، موقعیت، ارتباط با ساختارهای اطراف |
برای تومورهای معده به چه دکتری مراجعه کنیم؟
برای اطلاع بیشتر درباره تومورهای معده می توانید از بهترین دکترهای گوارش ایران نوبت بگیرید.
در ادامه لیستی از برجسته ترین پزشکان گوارش در برخی شهرهای مختلف ایران را مشاهده میکنید:
نتیجه گیری
تومورهای معده که خوشخیم تشخیص داده میشوند، برخلاف سرطانهای بدخیم، معمولاً رشد کند، محدود و بدون گسترش به نقاط دیگر بدن هستند. اما این به معنای بیاهمیتبودن آنها نیست؛ زیرا مشاهده عکس سرطان معده خوش خیم و تصاویر دقیق مرتبط، شناخت ما را نسبت به نحوه ظاهر شدن آنها افزایش داده و باعث میشود که پزشکان و بیماران نسبت به آنها هوشیارتر عمل کنند. تشخیص و پیگیری منظم این بیماری به ویژه هنگامی که در تصویربرداری یا آندوسکوپی مشهود میشوند، اهمیت ویژه دارد. در حقیقت هر گونه رشد غیرعادی در معده، حتی اگر خوشخیم به نظر برسد، نیازمند ارزشیابی تخصصی است.
دکترتو مراقب سلامتی شماست!
باسلام . وتشکر از کلیپ خوبتان . حقیر بیش از ۳۰ سال هست که از درد معده رنج میبرم و تمام آزمایش ها کلی و جزی از سونو آندوسکوپی های مختلف از دهان و ببخشی پایین را انجام داده اند اما با هیچداروی خوب نشد عمل جراحی داخلی از برداشتن آپاندیس که نداشتم دکتری بیش از ۳۴ سال پیش انجام داد که دیگه بعد از درآوردن آپاندیس معده دردم ماندگار شد تا الان . و دکتر هندی انجام داد که متوجه نشد آپاندیس نبوده اما در آورد و بعد از آن دیگه درد آرام م نگرد و فقط هر شب برای نداشتن درد یک لیوان شیر میخورم تا ارامشوم .چه کنم و تازه با قرص های بیسموت ساب و انتی بیوتیک های قوی هم برطرف نشد و عمل وواسیل هم انجام دادم شماها را به خدا بعد از خدو بگوئید چهکنم و هیچ غذای نمیتوانم بخورم از ترشی جات و سبزی ها ووو که فقط شیر را با کمی نون سوخاری میخورم و با خوردن کمی برنج که خورش آن کم هست دارم زندگی میکنم تشکر از برنامه خوبتان . راهنمای کنی چه کنم سیگار همنمی کشم که بدانی سیگاری نیستم ممنون وتشکر فقط در اندوسکپی آخری گفتن هل باکتری هست که با داروها هم برطرف نشد خدا نگدارتان ممنونم
سلام، با توجه به اینکه شما سالها درد معده دارید و درمانهای مختلف از دارو تا جراحی را امتحان کردهاید و همچنان علائم باقی مانده، بهتر است یک بار نزد فوقتخصص گوارش با تجربه مراجعه کنید تا بررسیهای کاملتر مثل تست هلیکوباکتر پیوسته، اندوسکوپی دقیق با نمونهبرداری و احتمالاً بررسی عملکرد معده و روده انجام شود. همچنین حفظ رژیم غذایی سبک که شما فعلاً استفاده میکنید، مناسب است و از غذاهای محرک پرهیز کنید، ولی برای کنترل درد و بهبود کیفیت زندگی، مدیریت تخصصی و پیگیری منظم لازم است.
اللهم شف کل مریض خدا خیر بده به همممه ی کادر درمان
درود و سپاس
ممنونم از محبت شما محمدحسن عزیز