فهرست مطالب
مشاهده عکس لوزه میتواند به درک بهتر وضعیت گلو و تشخیص اولیه برخی مشکلات مانند التهاب، تورم یا وجود لکههای چرکی کمک کند. بسیاری از افراد با دیدن تغییر رنگ یا ظاهر غیرطبیعی لوزهها نگران میشوند و به دنبال مقایسه آن با تصاویر مشابه هستند. اگرچه عکس لوزه میتواند علائم ظاهری را نشان دهد، اما برای تشخیص دقیق علت بیماری، معمولاً بررسیهای پزشکی تکمیلی نیز لازم است. در ادامه این مقاله از دکترتو تصویر لوزه را در شرایط مختلف مشاهده میکنید.








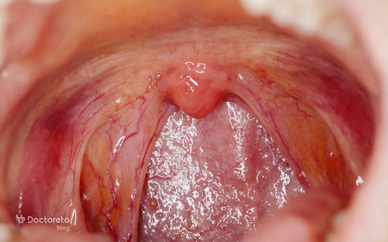
عکس لوزه طبیعی و سالم
لوزههای سالم معمولاً صورتیرنگ هستند و سطحی یکنواخت دارند. در حالت طبیعی، لوزه ها از کنارههای گلو بیرون نزده و فقط کمی قابل مشاهده هستند. زمانی که لوزهها دچار عفونت یا التهاب میشوند، معمولاً قرمز و متورم به نظر میرسند.


| لوزه طبیعی | سایر لوزهها |
|---|---|
| صورتیرنگ، سطح یکنواخت و کمی قابل مشاهده | قرمز، متورم و گاهی با لکه یا ترشح چرکی |
| در پشت گلو معمولاً بیرون نزده و اندازه طبیعی دارد. | بزرگشده یا تودهای، ممکن است فضای راه هوایی را تنگ کند و بلع یا تنفس را دشوار کند. |
| عملکرد بخشی از سیستم ایمنی و مشابه غدد لنفاوی | ممکن است چرک تجمع یابد (لوزه چرکی)، سنگ لوزه یا التهاب حاد ایجاد شود. |
| بدون درد یا علائم آزاردهنده | علائم شامل گلودرد شدید، درد هنگام بلع، درد گوش، تب، بوی بد دهان و اختلال در خواب است. |
| کریپتها و حفرههای کوچک طبیعی هستند. | کریپتهای بزرگ یا ملتهب میتوانند باعث تجمع مواد و ایجاد التهاب مزمن شوند. |
عکس لوزه چرکی


لوزه چرکی یا آبسه دور لوزهای معمولاً نتیجه التهاب حاد لوزه است که بهدرستی درمان یا کنترل نشده باشد. در این حالت، چرک در اطراف یا بین لوزهها تجمع پیدا میکند و ظاهر سفید یا زرد رنگ مشخصی ایجاد میشود. این وضعیت اغلب با درد شدید گلو همراه بوده و باعث احساس گیر کردن چیزی در گلو میشود.
از علائم شایع لوزه چرکی میتوان به درد شدید هنگام بلع، دردی که به گوش انتشار پیدا میکند، افزایش ترشح بزاق و مشکل در باز کردن کامل دهان اشاره کرد که باید سریعا به پزشک مراجعه کرد. تب نیز یکی از نشانههای رایج این نوع التهاب است و معمولاً نشاندهنده شدت عفونت است.
متن انگلیسی:
به نقل از سایت my.clevelandclinic
Your tonsils are two round, fleshy masses in the back of your throat (pharynx). Part of your
immune system, your tonsils are like lymph nodes.
ترجمه فارسی:
لوزههای شما دو توده گرد و گوشتی در پشت گلو (حلق) هستند. لوزهها بخشی از سیستم ایمنی بدنتان هستند و مانند غدد لنفاوی عمل میکنند.
عکس لوزه بزرگ شده


لوزههای بزرگشده به صورت تودههای متورم در پشت گلو دیده میشوند. چنین لوزههایی ممکن است فضای راه هوایی را تنگ کنند. این وضعیت میتواند تنفس یا بلع را دشوار کند و در برخی افراد باعث گلودرد مداوم شود. در کودکان، بزرگ شدن لوزهها گاهی با خروپف شبانه یا اختلال در خواب همراه است. در صورت تداوم علائم یا ایجاد مشکل در تنفس، بررسی پزشکی برای تعیین علت و انتخاب روش درمان مناسب ضروری است.
عکس لوزه حفره دار و سنگ دار


سنگ لوزه تودههای کوچک و سفتی هستند که در حفرهها یا کریپتهای لوزه تشکیل میشوند. این سنگها از تجمع مواد معدنی مانند کلسیم، بقایای غذا و میکروارگانیسمهایی مانند باکتری یا قارچ به وجود میآیند. اگرچه معمولاً خطرناک نیستند، اما گاهی اوقات باعث بوی بد دهان و احساس ناراحتی در گلو میشوند.
کریپتهای لوزه بهطور طبیعی به سیستم ایمنی کمک میکنند تا عوامل بیماریزا را شناسایی کند. با این حال، زمانی که این حفرهها بزرگ یا ملتهب شوند، احتمال تجمع مواد و بروز علائمی مانند گلو درد، گوشدرد یا التهاب مزمن افزایش مییابد.
عکس لوزه ملتهب در کودکان و بزرگسالان


التهاب لوزه یکی از بیماریهای شایع التهابی است که لوزههای کامی را درگیر میکند و درصد قابل توجهی از مراجعات سرپایی را به خود اختصاص میدهد. این بیماری معمولاً در اثر عفونتهای ویروسی یا باکتریایی ایجاد میشود و در هر دو گروه کودکان و بزرگسالان دیده میشود. علائم شایع شامل گلودرد، تب، درد هنگام بلع (ادینوفاژی)، قرمزی لوزهها و گاهی ترشح یا لکههای سفید روی آنها است. شدت علائم بسته به نوع عامل عفونی و وضعیت سیستم ایمنی فرد متفاوت است.
عکس لوزه بعد از جراحی



در روزهای ابتدایی پس از جراحی لوزه، ناحیهای که لوزهها برداشته شدهاند معمولاً با یک لایه سفید یا خاکستریرنگ پوشیده میشود. این لایه نشانه عفونت نیست، بلکه ترشح فیبرینی طبیعی بوده که از بافت خام محافظت میکند. این ترشح بخشی از روند ترمیم محسوب میشود. این پوشش بهتدریج طی چند روز جدا میشود و همزمان با بهبود زخم از بین میرود. در این دوره، رعایت توصیههای پزشک، مصرف مایعات و پرهیز از غذاهای سفت به بهبود سریعتر بیمار کمک میکند.
متن انگلیسی:
به نقل از سایت myhealth.alberta
The tonsils and adenoids are made of lymph tissue in the throat. They help make substances (antibodies) that help the body fight infection.
ترجمه فارسی:
لوزهها و آدنوئیدها از بافت لنفاوی در گلو ساخته شدهاند. آنها به تولید موادی (آنتیبادیها) که به بدن در مبارزه با عفونت کمک میکنند میپردازند.

عکس سرطان لوزه را مشاهده کنید.
نتیجه گیری
بررسی عکس لوزه میتواند اطلاعات مفیدی درباره وضعیت ظاهری لوزهها ارائه دهد، اما بهتنهایی برای تشخیص قطعی کافی نیست. تفسیر درست تصاویر نیازمند دانش پزشکی و در نظر گرفتن علائم بالینی فرد است. در صورت مشاهده علائم غیرطبیعی یا تداوم مشکلات گلو، مراجعه به پزشک بهترین و مطمئنترین راه برای تشخیص و درمان مناسب خواهد بود.
دکترتو مراقب سلامتی شماست!